Antibody data
- Antibody Data
- Antigen structure
- References [0]
- Comments [0]
- Validations
- Western blot [1]
- Immunohistochemistry [1]
Submit
Validation data
Reference
Comment
Report error
- Product number
- OAAB08669 - Provider product page

- Provider
- Aviva Systems Biology
- Product name
- TM181 antibody - N - terminal region
- Antibody type
- Polyclonal
- Reactivity
- Human
- Host
- Rabbit
- Vial size
- 400ul
- Storage
- Maintain refrigerated at 2-8°C for up to 6 months. For long term storage store at -20°C in small aliquots to prevent freeze-thaw cycles.
No comments: Submit comment
Supportive validation
- Submitted by
- Aviva Systems Biology (provider)
- Main image

- Experimental details
- TM181 Antibody (N-term) (Cat. #OAAB08669) western blot analysis in NCI-H460 cell line lysates (35µg/lane).This demonstrates the TM181 antibody detected the TM181 protein (arrow).
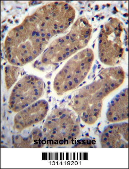
Supportive validation
- Submitted by
- Aviva Systems Biology (provider)
- Main image

- Experimental details
- TM181 Antibody (N-term) (Cat. #OAAB08669)immunohistochemistry analysis in formalin fixed and paraffin embedded human stomach tissue followed by peroxidase conjugation of the secondary antibody and DAB staining.This data demonstrates the use of TM181 Antibody (N-term) for immunohistochemistry. Clinical relevance has not been evaluated.