Antibody data
- Antibody Data
- Antigen structure
- References [0]
- Comments [0]
- Validations
- Immunocytochemistry [2]
- Immunohistochemistry [1]
Submit
Validation data
Reference
Comment
Report error
- Product number
- PA5-59097 - Provider product page

- Provider
- Invitrogen Antibodies
- Product name
- TMEM181 Polyclonal Antibody
- Antibody type
- Polyclonal
- Antigen
- Recombinant protein fragment
- Description
- Immunogen sequence: KNALYESQLK DNPAFSMLND SDDDVIYGSD YEEMPLQNGQ AIRAKYKEES DSD Highest antigen sequence identity to the following orthologs: Mouse - 96%, Rat - 96%.
- Reactivity
- Human
- Host
- Rabbit
- Isotype
- IgG
- Vial size
- 100 μL
- Concentration
- 0.1 mg/mL
- Storage
- Store at 4°C short term. For long term storage, store at -20°C, avoiding freeze/thaw cycles.
No comments: Submit comment
Supportive validation
- Submitted by
- Invitrogen Antibodies (provider)
- Main image

- Experimental details
- Immunofluorescent staining of TMEM181 in human cell line U-2 OS shows positivity in vesicles. Samples were probed using a TMEM181 Polyclonal Antibody (Product # PA5-59097).
- Submitted by
- Invitrogen Antibodies (provider)
- Main image

- Experimental details
- Immunofluorecent analysis of TMEM181 in human cell line U-2 OS using TMEM181 Polyclonal Antibody (Product # PA5-59097). Staining shows localization to vesicles.
Supportive validation
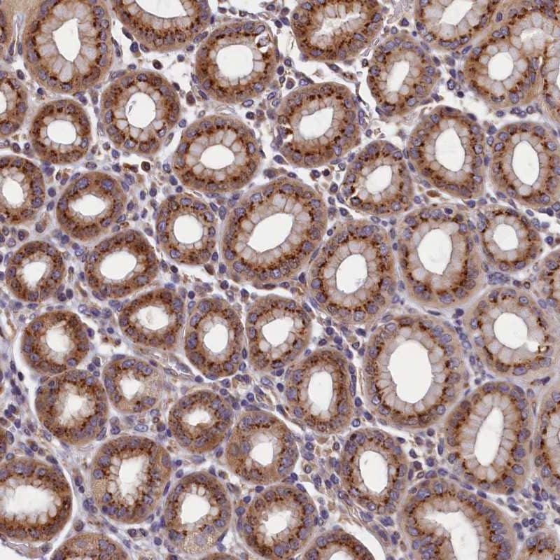
- Submitted by
- Invitrogen Antibodies (provider)
- Main image

- Experimental details
- Immunohistochemical analysis of TMEM181 in human stomach using TMEM181 Polyclonal Antibody (Product # PA5-59097) shows strong cytoplasmic positivity, with a granular pattern in glandular cells.