Antibody data
- Antibody Data
- Antigen structure
- References [0]
- Comments [0]
- Validations
- Immunocytochemistry [1]
- Immunohistochemistry [4]
Submit
Validation data
Reference
Comment
Report error
- Product number
- PA5-61369 - Provider product page

- Provider
- Invitrogen Antibodies
- Product name
- RPP25 Polyclonal Antibody
- Antibody type
- Polyclonal
- Antigen
- Recombinant protein fragment
- Description
- Immunogen sequence: ASLSVLKNVP GLAILLSKDA LDPRQPGYQP PNPHPGPSSP PAAPASKRSL GEPAAGEGSA KRSQPEP Highest antigen sequence identity to the following orthologs: Mouse - 84%, Rat - 85%.
- Reactivity
- Human
- Host
- Rabbit
- Isotype
- IgG
- Vial size
- 100 μL
- Concentration
- 0.3 mg/mL
- Storage
- Store at 4°C short term. For long term storage, store at -20°C, avoiding freeze/thaw cycles.
No comments: Submit comment
Supportive validation
- Submitted by
- Invitrogen Antibodies (provider)
- Main image

- Experimental details
- Immunofluorecent analysis of RPP25 in human cell line SiHa using RPP25 Polyclonal Antibody (Product # PA5-61369). Staining shows localization to nucleoplasm and microtubule organizing center.
Supportive validation
- Submitted by
- Invitrogen Antibodies (provider)
- Main image

- Experimental details
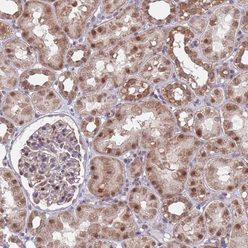
- Immunohistochemical analysis of RPP25 in human kidney using RPP25 Polyclonal Antibody (Product # PA5-61369) shows weak to moderate nuclear positivity in cells in tubules.
- Submitted by
- Invitrogen Antibodies (provider)
- Main image

- Experimental details
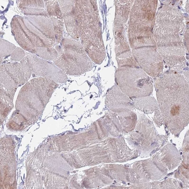
- Immunohistochemical analysis of RPP25 in human skeletal muscle using RPP25 Polyclonal Antibody (Product # PA5-61369) shows no nuclear positivity in myocytes.
- Submitted by
- Invitrogen Antibodies (provider)
- Main image

- Experimental details
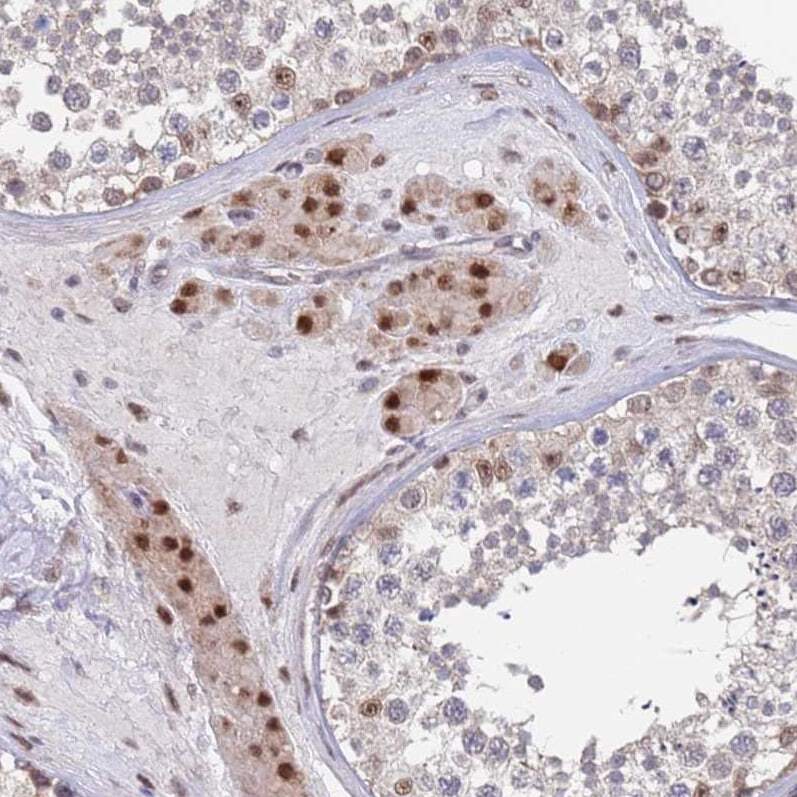
- Immunohistochemical analysis of RPP25 in human testis using RPP25 Polyclonal Antibody (Product # PA5-61369) shows moderate nuclear positivity in Leydig cells.
- Submitted by
- Invitrogen Antibodies (provider)
- Main image

- Experimental details
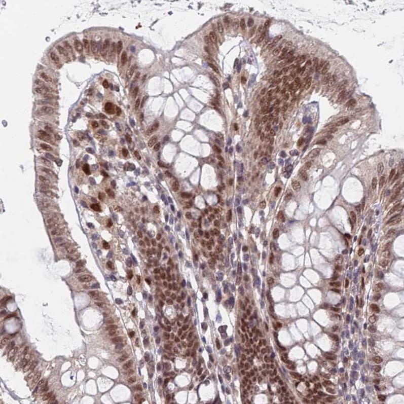
- Immunohistochemical analysis of RPP25 in human colon using RPP25 Polyclonal Antibody (Product # PA5-61369) shows moderate nuclear positivity in glandular cells.