Antibody data
- Antibody Data
- Antigen structure
- References [2]
- Comments [0]
- Validations
- Immunohistochemistry [2]
Submit
Validation data
Reference
Comment
Report error
- Product number
- BAM1226 - Provider product page

- Provider
- Novus Biologicals
- Product name
- Rat Monoclonal Sca-1/Ly6 Antibody
- Antibody type
- Monoclonal
- Description
- Protein A or G purified from hybridoma culture supernatant. Detects mouse Sca-1/Ly6 in Western blots.
- Reactivity
- Mouse
- Host
- Rat
- Conjugate
- Biotin
- Isotype
- IgG
- Vial size
- 250 ug
- Concentration
- LYOPH
- Storage
- Use a manual defrost freezer and avoid repeated freeze-thaw cycles. 12 months from date of receipt, -20 to -70 degreesC as supplied. 1 month, 2 to 8 degreesC under sterile conditions after reconstitution. 6 months, -20 to -70 degreesC under sterile conditions after reconstitution.
Submitted references YAP/TAZ-Dependent Reprogramming of Colonic Epithelium Links ECM Remodeling to Tissue Regeneration.
Allergen exposure-induced differences in CD34+ cell phenotype: relationship to eosinophilopoietic responses in different compartments.
Yui S, Azzolin L, Maimets M, Pedersen MT, Fordham RP, Hansen SL, Larsen HL, Guiu J, Alves MRP, Rundsten CF, Johansen JV, Li Y, Madsen CD, Nakamura T, Watanabe M, Nielsen OH, Schweiger PJ, Piccolo S, Jensen KB
Cell stem cell 2018 Jan 4;22(1):35-49.e7
Cell stem cell 2018 Jan 4;22(1):35-49.e7
Allergen exposure-induced differences in CD34+ cell phenotype: relationship to eosinophilopoietic responses in different compartments.
Sergejeva S, Johansson AK, Malmhäll C, Lötvall J
Blood 2004 Feb 15;103(4):1270-7
Blood 2004 Feb 15;103(4):1270-7
No comments: Submit comment
Supportive validation
- Submitted by
- Novus Biologicals (provider)
- Main image

- Experimental details
- Sca-1/Ly6 in Mouse Thymus. Sca-1/Ly6 was detected in perfusion fixed frozen sections of mouse thymus using Mouse Sca-1/Ly6 Biotinylated Monoclonal Antibody (Catalog # BAM1226) at 25 µg/mL overnight at 4 °C. Tissue was stained using the Anti-Rat HRP-DAB Cell & Tissue Staining Kit (brown; Catalog # CTS017) and counterstained with hematoxylin (blue). Lower panel shows a lack of labeling if primary antibodies are omitted and tissue is stained only with secondary antibody followed by incubation with detection reagents. View our protocol for Chromogenic IHC Staining of Frozen Tissue Sections.
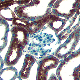
- Submitted by
- Novus Biologicals (provider)
- Main image

- Experimental details
- Sca-1/Ly6 in Mouse Kidney. Sca-1/Ly6 was detected in perfusion fixed frozen sections of mouse kidney using Mouse Sca-1/Ly6 Biotinylated Monoclonal Antibody (Catalog # BAM1226) at 25 µg/mL overnight at 4 °C. Tissue was stained using the Anti-Rat HRP-DAB Cell & Tissue Staining Kit (brown; Catalog # CTS017) and counterstained with hematoxylin (blue). View our protocol for Chromogenic IHC Staining of Frozen Tissue Sections.