Antibody data
- Antibody Data
- Antigen structure
- References [0]
- Comments [0]
- Validations
- Immunocytochemistry [2]
- Immunohistochemistry [4]
Submit
Validation data
Reference
Comment
Report error
- Product number
- PA5-58539 - Provider product page

- Provider
- Invitrogen Antibodies
- Product name
- CD99L2 Polyclonal Antibody
- Antibody type
- Polyclonal
- Antigen
- Recombinant protein fragment
- Description
- Immunogen sequence: FDDFNLEDAV KETSSVKQPW DHTTTTTTNR PGTTRAPAKP PGSGLDLADA LDDQDDGRRK PGIGGRERWN HVTTTTKRPV TTRAPANTLG N Highest antigen sequence identity to the following orthologs: Mouse - 51%, Rat - 51%.
- Reactivity
- Human
- Host
- Rabbit
- Isotype
- IgG
- Vial size
- 100 μL
- Concentration
- 0.25 mg/mL
- Storage
- Store at 4°C short term. For long term storage, store at -20°C, avoiding freeze/thaw cycles.
No comments: Submit comment
Supportive validation
- Submitted by
- Invitrogen Antibodies (provider)
- Main image

- Experimental details
- Immunofluorescent staining of CD99L2 in human cell line A-431 using CD99L2 Polyclonal Antibody (Product # PA5-58539) shows localization to plasma membrane.
- Submitted by
- Invitrogen Antibodies (provider)
- Main image

- Experimental details
- Immunofluorescent staining of CD99L2 in human cell line A-431 using CD99L2 Polyclonal Antibody (Product # PA5-58539) shows localization to plasma membrane.
Supportive validation
- Submitted by
- Invitrogen Antibodies (provider)
- Main image

- Experimental details
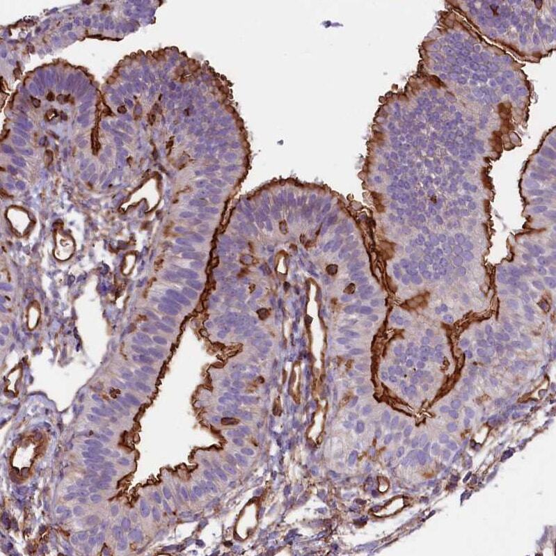
- Immunohistochemical analysis of CD99L2 in human fallopian tube using CD99L2 Polyclonal Antibody (Product # PA5-58539) shows strong positivity in microvilli in glandular cells.
- Submitted by
- Invitrogen Antibodies (provider)
- Main image

- Experimental details
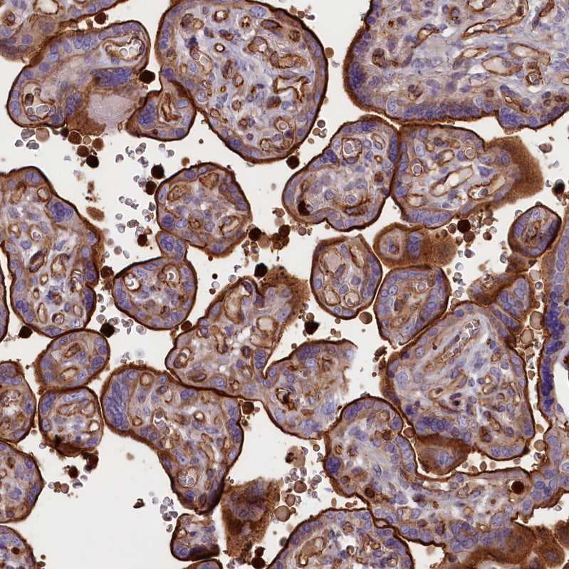
- Immunohistochemical analysis of CD99L2 in human placenta using CD99L2 Polyclonal Antibody (Product # PA5-58539) shows strong positivity in microvilli in trophoblastic cells.
- Submitted by
- Invitrogen Antibodies (provider)
- Main image

- Experimental details
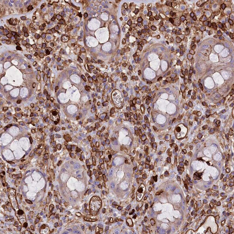
- Immunohistochemical analysis of CD99L2 in human rectum using CD99L2 Polyclonal Antibody (Product # PA5-58539) shows strong membranous positivity in lymphoid cells.
- Submitted by
- Invitrogen Antibodies (provider)
- Main image

- Experimental details
- Immunohistochemical analysis of CD99L2 in human cerebral cortex using CD99L2 Polyclonal Antibody (Product # PA5-58539) shows strong membranous positivity in neuropil.