Antibody data
- Antibody Data
- Antigen structure
- References [0]
- Comments [0]
- Validations
- Immunohistochemistry [1]
Submit
Validation data
Reference
Comment
Report error
- Product number
- PAB22943 - Provider product page

- Provider
- Abnova Corporation
- Proper citation
- Abnova Corporation Cat#PAB22943, RRID:AB_10965730
- Product name
- C6orf225 polyclonal antibody
- Antibody type
- Polyclonal
- Antigen
- Recombinant protein corresponding to amino acids of human C6orf225.
- Reactivity
- Human
- Host
- Rabbit
- Antigen sequence
FQFGTQPRRFPVEGGDSSIELEPGLSSSAACNGKE
MSPTRQLRRCPGSHCLTITDVPVTVYATTRKPPAQ
SSKEMHPK- Isotype
- IgG
- Vial size
- 100 μl
- Storage
- Store at 4°C. For long term storage store at -20°C.Aliquot to avoid repeated freezing and thawing.
No comments: Submit comment
Supportive validation
- Submitted by
- Abnova Corporation (provider)
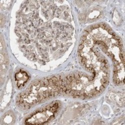
- Main image

- Experimental details
- Immunohistochemical staining of human kidney with C6orf225 polyclonal antibody (Cat # PAB22943) shows strong cytoplasmic and membranous positivity in a subset of tubules at 1:10-1:20 dilution.
- Validation comment
- Immunohistochemistry (Formalin/PFA-fixed paraffin-embedded sections)