Antibody data
- Antibody Data
- Antigen structure
- References [0]
- Comments [0]
- Validations
- Immunohistochemistry [8]
Submit
Validation data
Reference
Comment
Report error
- Product number
- NBP2-38294 - Provider product page

- Provider
- Novus Biologicals
- Product name
- Rabbit Polyclonal ZBBX Antibody
- Antibody type
- Polyclonal
- Description
- Immunogen affinity purified. Specificity of human ZBBX antibody verified on a Protein Array containing target protein plus 383 other non-specific proteins.
- Reactivity
- Human
- Host
- Rabbit
- Isotype
- IgG
- Vial size
- 0.1 ml
- Storage
- Store at 4C short term. Aliquot and store at -20C long term. Avoid freeze-thaw cycles.
No comments: Submit comment
Supportive validation
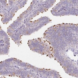
- Submitted by
- Novus Biologicals (provider)
- Main image

- Experimental details
- Immunohistochemistry: ZBBX Antibody [NBP2-38294] - Staining of human fallopian tube shows strong positivity in ciliated cells.
- Submitted by
- Novus Biologicals (provider)
- Main image

- Experimental details
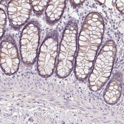
- Immunohistochemistry-Paraffin: ZBBX Antibody [NBP2-38294] - Staining of human colon shows low expression as expected.
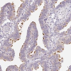
- Submitted by
- Novus Biologicals (provider)
- Main image

- Experimental details
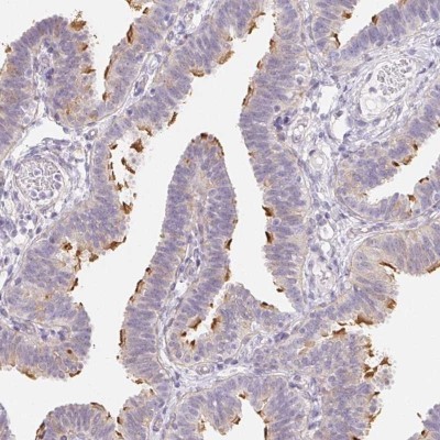
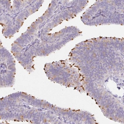
- Immunohistochemistry-Paraffin: ZBBX Antibody [NBP2-38294] - Staining of human fallopian tube shows high expression.
- Submitted by
- Novus Biologicals (provider)
- Main image

- Experimental details
- Immunohistochemistry-Paraffin: ZBBX Antibody [NBP2-38294] - Staining in human fallopian tube and colon tissues using anti-ZBBX antibody. Corresponding ZBBX RNA-seq data are presented for the same tissues.
- Submitted by
- Novus Biologicals (provider)
- Main image

- Experimental details
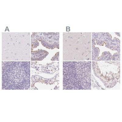
- Immunohistochemistry-Paraffin: ZBBX Antibody [NBP2-38294] - Staining of human cerebral cortex, fallopian tube, lymph node and testis using Anti-ZBBX antibody NBP2-38294 (A) shows similar protein distribution across tissues to independent antibody NBP1-82092 (B).
- Submitted by
- Novus Biologicals (provider)
- Main image

- Experimental details
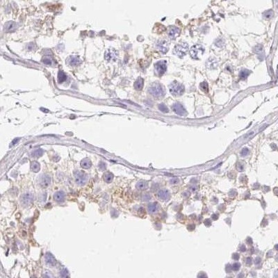
- Immunohistochemistry-Paraffin: ZBBX Antibody [NBP2-38294] - Staining of human testis.
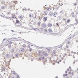
- Submitted by
- Novus Biologicals (provider)
- Main image

- Experimental details
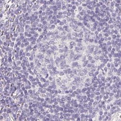
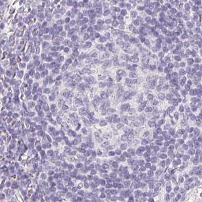
- Immunohistochemistry-Paraffin: ZBBX Antibody [NBP2-38294] - Staining of human lymph node.
- Submitted by
- Novus Biologicals (provider)
- Main image

- Experimental details
- Immunohistochemistry-Paraffin: ZBBX Antibody [NBP2-38294] - Staining of human cerebral cortex.