Antibody data
- Antibody Data
- Antigen structure
- References [0]
- Comments [0]
- Validations
- Immunohistochemistry [7]
Submit
Validation data
Reference
Comment
Report error
- Product number
- PA5-57612 - Provider product page

- Provider
- Invitrogen Antibodies
- Product name
- ZBBX Polyclonal Antibody
- Antibody type
- Polyclonal
- Antigen
- Recombinant protein fragment
- Description
- Immunogen sequence: VPYKVKLADA DSQRSCAFHD CQKNSFPYEN GIHQHHVFDK GKRDFLNLCL RNSSTYYKDN SKAETSNTDF DNIVDPDVYS SD Highest antigen sequence identity to the following orthologs: Mouse - 50%, Rat - 43%.
- Reactivity
- Human
- Host
- Rabbit
- Isotype
- IgG
- Vial size
- 100 μL
- Concentration
- 0.5 mg/mL
- Storage
- Store at 4°C short term. For long term storage, store at -20°C, avoiding freeze/thaw cycles.
No comments: Submit comment
Supportive validation
- Submitted by
- Invitrogen Antibodies (provider)
- Main image

- Experimental details
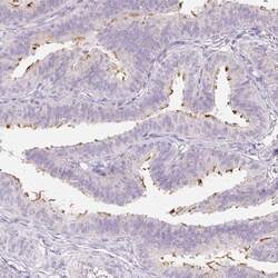
- Immunohistochemical staining of ZBBX in human fallopian tube using a ZBBX Polyclonal Antibody (Product # PA5-57612) shows distinct positivity in cilia.
- Submitted by
- Invitrogen Antibodies (provider)
- Main image

- Experimental details
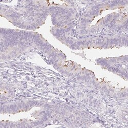
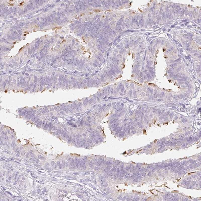
- Immunohistochemical staining of ZBBX in human fallopian tube using ZBBX Polyclonal Antibody (Product # PA5-57612) shows high expression.
- Submitted by
- Invitrogen Antibodies (provider)
- Main image

- Experimental details
- Immunohistochemical staining of ZBBX in human cerebral cortex using ZBBX Polyclonal Antibody (Product # PA5-57612).
- Submitted by
- Invitrogen Antibodies (provider)
- Main image

- Experimental details
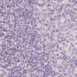
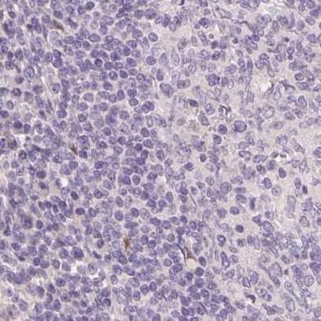
- Immunohistochemical staining of ZBBX in human lymph node using ZBBX Polyclonal Antibody (Product # PA5-57612).
- Submitted by
- Invitrogen Antibodies (provider)
- Main image

- Experimental details
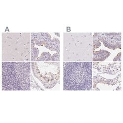
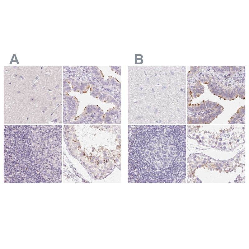
- Immunohistochemical staining of ZBBX in human cerebral cortex, fallopian tube, lymph node and testis using ZBBX Polyclonal Antibody (Product # PA5-57612) (A) shows similar protein distribution across tissues to an independent ZBBX Polyclonal Antibody (B).
- Submitted by
- Invitrogen Antibodies (provider)
- Main image

- Experimental details
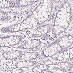
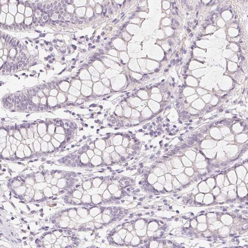
- Immunohistochemical staining of ZBBX in human colon using ZBBX Polyclonal Antibody (Product # PA5-57612) shows low expression as expected.
- Submitted by
- Invitrogen Antibodies (provider)
- Main image

- Experimental details
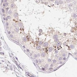
- Immunohistochemical staining of ZBBX in human testis using ZBBX Polyclonal Antibody (Product # PA5-57612).