Antibody data
- Antibody Data
- Antigen structure
- References [0]
- Comments [0]
- Validations
- Western blot [1]
- Immunohistochemistry [1]
- Flow cytometry [1]
Submit
Validation data
Reference
Comment
Report error
- Product number
- AP54608PU-N - Provider product page

- Provider
- Acris Antibodies GmbH
- Proper citation
- Acris Antibodies GmbH Cat#AP54608PU-N, RRID:AB_11151364
- Product name
- anti ZBBX (N-term)
- Antibody type
- Polyclonal
- Antigen
- KLH conjugated synthetic peptide between 41-70 amino acids from the N-terminal region of human ZBBX
- Reactivity
- Human
- Host
- Rabbit
- Vial size
- 0.4 ml
- Concentration
- lot specific
No comments: Submit comment
Supportive validation
- Submitted by
- Acris Antibodies GmbH (provider)
- Main image

- Experimental details
- ZBBX Antibody (N-term) (AP54608PU-N) western blot analysis in MDA-MB435 cell line lysates (35 µg/lane). This demonstrates the ZBBX antibody detected the ZBBX protein (arrow).
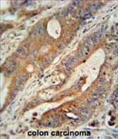
Supportive validation
- Submitted by
- Acris Antibodies GmbH (provider)
- Main image

- Experimental details
- ZBBX antibody (N-term) (AP54608PU-N) immunohistochemistry analysis in formalin fixed and paraffin embedded human colon carcinoma followed by peroxidase conjugation of the secondary antibody and DAB staining. This data demonstrates the use of the ZBBX antibody (N-term) for immunohistochemistry. Clinical relevance has not been evaluated.
Supportive validation
- Submitted by
- Acris Antibodies GmbH (provider)
- Main image

- Experimental details
- ZBBX Antibody (N-term) (AP54608PU-N) flow cytometric analysis of MDA-MB435 cells (right histogram) compared to a negative control cell (left histogram). FITC-conjugated goat-anti-rabbit secondary antibodies were used for the analysis