Antibody data
- Antibody Data
- Antigen structure
- References [0]
- Comments [0]
- Validations
- Immunocytochemistry [2]
- Immunohistochemistry [4]
Submit
Validation data
Reference
Comment
Report error
- Product number
- PA5-58566 - Provider product page

- Provider
- Invitrogen Antibodies
- Product name
- CCDC77 Polyclonal Antibody
- Antibody type
- Polyclonal
- Antigen
- Recombinant protein fragment
- Description
- Immunogen sequence: IMTKRYEALE RRRILEVEGF KTDIKVLRQK LKDLEQMLYK ATVNARANQD LALLCEVRDS NRRAHKIQGE LKNLKSKVFG LENEL Highest antigen sequence identity to the following orthologs: Mouse - 85%, Rat - 84%.
- Reactivity
- Human
- Host
- Rabbit
- Isotype
- IgG
- Vial size
- 100 μL
- Concentration
- 0.2 mg/mL
- Storage
- Store at 4°C short term. For long term storage, store at -20°C, avoiding freeze/thaw cycles.
No comments: Submit comment
Supportive validation
- Submitted by
- Invitrogen Antibodies (provider)
- Main image

- Experimental details
- Immunofluorescent staining of CCDC77 in human cell line A-431 shows positivity in nuclear membrane. Samples were probed using a CCDC77 Polyclonal Antibody (Product # PA5-58566).
- Submitted by
- Invitrogen Antibodies (provider)
- Main image

- Experimental details
- Immunofluorecent analysis of CCDC77 in human cell line A-431 using CCDC77 Polyclonal Antibody (Product # PA5-58566). Staining shows localization to nuclear membrane.
Supportive validation
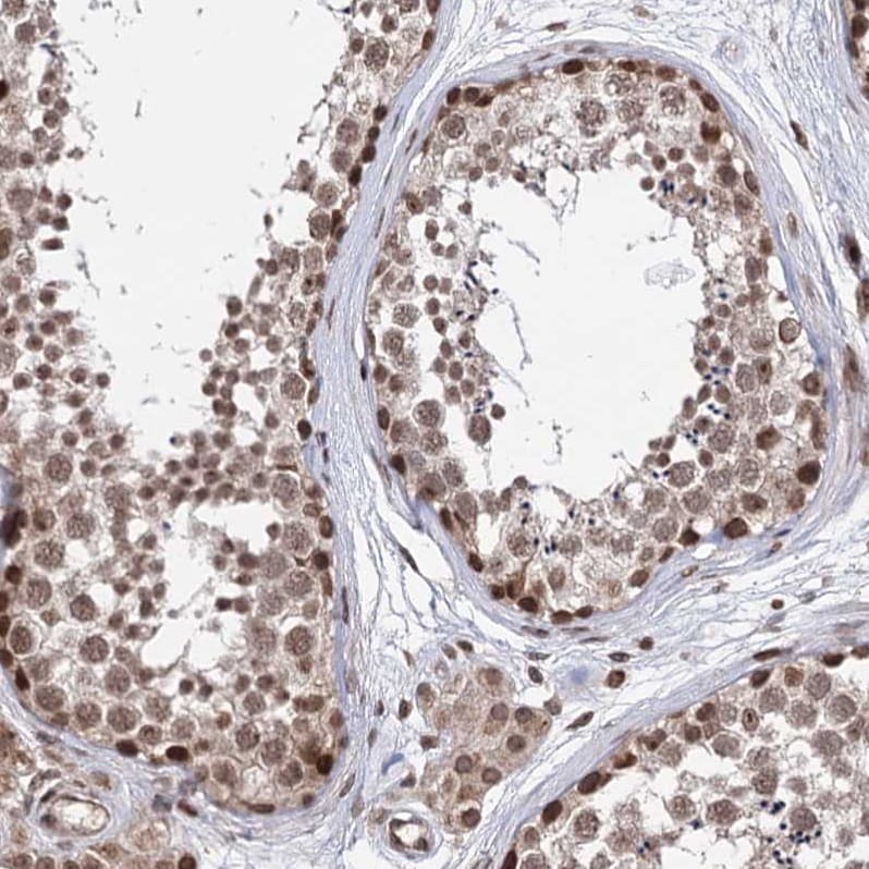
- Submitted by
- Invitrogen Antibodies (provider)
- Main image

- Experimental details
- Immunohistochemical analysis of CCDC77 in human testis using CCDC77 Polyclonal Antibody (Product # PA5-58566) shows moderate nuclear and cytoplasmic positivity in cells in seminiferous ducts.
- Submitted by
- Invitrogen Antibodies (provider)
- Main image

- Experimental details
- Immunohistochemical analysis of CCDC77 in human lymph node using CCDC77 Polyclonal Antibody (Product # PA5-58566) shows moderate nuclear and cytoplasmic positivity in germinal and non-germinal center cells.
- Submitted by
- Invitrogen Antibodies (provider)
- Main image

- Experimental details
- Immunohistochemical analysis of CCDC77 in human cerebral cortex using CCDC77 Polyclonal Antibody (Product # PA5-58566) shows moderate nuclear and cytoplasmic positivity in neurons.
- Submitted by
- Invitrogen Antibodies (provider)
- Main image

- Experimental details
- Immunohistochemical analysis of CCDC77 in human skeletal muscle using CCDC77 Polyclonal Antibody (Product # PA5-58566) shows very weak nuclear positivity in myocytes.