Antibody data
- Antibody Data
- Antigen structure
- References [0]
- Comments [0]
- Validations
- Immunocytochemistry [1]
- Immunohistochemistry [1]
Submit
Validation data
Reference
Comment
Report error
- Product number
- PA5-60394 - Provider product page

- Provider
- Invitrogen Antibodies
- Product name
- Anti-VPS13C Polyclonal Antibody
- Antibody type
- Polyclonal
- Antigen
- Recombinant full-length protein
- Description
- Immunogen sequence: AIAFGKSPIE FLENAYEKYG PVFSFTMVGK TFTYLLGSDA AALLFNSKNE DLNAEDVYSR LTTPVFGKGV AYDVPNPVFL EQKKML Highest antigen sequence identity to the following orthologs: Mouse - 93%, Rat - 95%.
- Reactivity
- Human
- Host
- Rabbit
- Isotype
- IgG
- Vial size
- 100 µl
- Concentration
- 0.1 mg/ml
- Storage
- Store at 4°C short term. For long term storage, store at -20°C, avoiding freeze/thaw cycles.
No comments: Submit comment
Supportive validation
- Submitted by
- Invitrogen Antibodies (provider)
- Main image

- Experimental details
- Immunofluorescent staining of VPS13C in human cell line HeLa using a VPS13C Polyclonal Antibody (Product # PA5-60394) shows localization to microtubules.
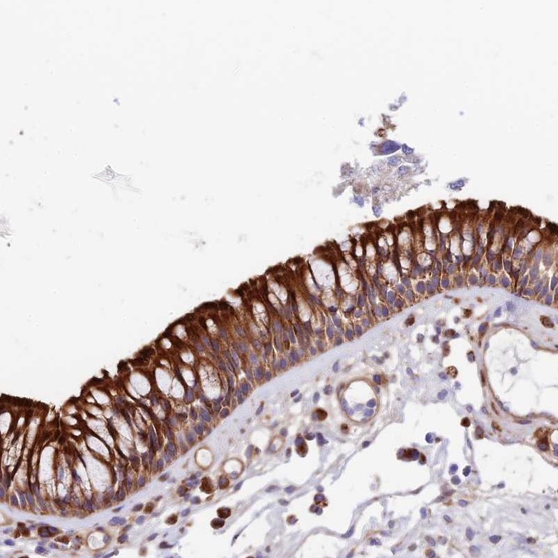
Supportive validation
- Submitted by
- Invitrogen Antibodies (provider)
- Main image

- Experimental details
- Immunohistochemical staining of VPS13C in human nasopharynx using a VPS13C Polyclonal Antibody (Product # PA5-60394) shows strong cytoplasmic and membranous positivity in respiratory epithelial cells.