Antibody data
- Antibody Data
- Antigen structure
- References [0]
- Comments [0]
- Validations
- Immunocytochemistry [1]
- Immunohistochemistry [5]
Submit
Validation data
Reference
Comment
Report error
- Product number
- NBP1-94044 - Provider product page

- Provider
- Novus Biologicals
- Proper citation
- Novus Cat#NBP1-94044, RRID:AB_11022018
- Product name
- Rabbit Polyclonal VPS13C Antibody
- Antibody type
- Polyclonal
- Description
- Immunogen affinity purified. Specificity of human VPS13C antibody verified on a Protein Array containing target protein plus 383 other non-specific proteins.
- Reactivity
- Human
- Host
- Rabbit
- Isotype
- IgG
- Vial size
- 0.1 ml
- Storage
- Store at 4C short term. Aliquot and store at -20C long term. Avoid freeze-thaw cycles.
No comments: Submit comment
Supportive validation
- Submitted by
- Novus Biologicals (provider)
- Main image

- Experimental details
- Immunocytochemistry/Immunofluorescence: VPS13C Antibody [NBP1-94044] - Staining of human cell line HeLa shows localization to microtubules. Antibody staining is shown in green.
Supportive validation
- Submitted by
- Novus Biologicals (provider)
- Main image

- Experimental details
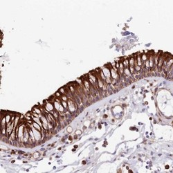
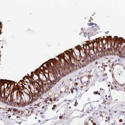
- Immunohistochemistry-Paraffin: VPS13C Antibody [NBP1-94044] - Staining of human nasopharynx shows strong cytoplasmic and membranous ( cilia ) positivity in respiratory epithelial cells.
- Submitted by
- Novus Biologicals (provider)
- Main image

- Experimental details
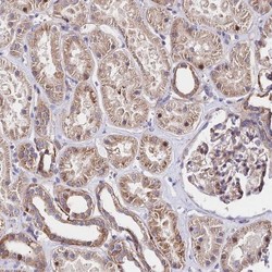
- Immunohistochemistry-Paraffin: VPS13C Antibody [NBP1-94044] - Staining of human kidney shows moderate positivity in cells in tubules and glomeruli.
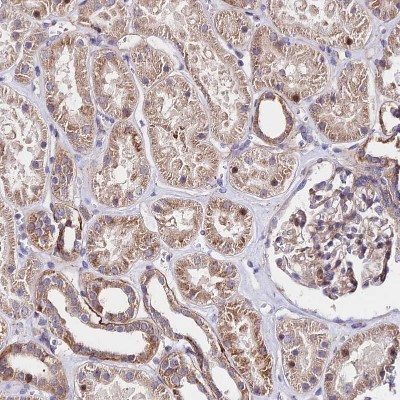
- Submitted by
- Novus Biologicals (provider)
- Main image

- Experimental details
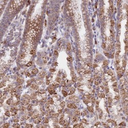
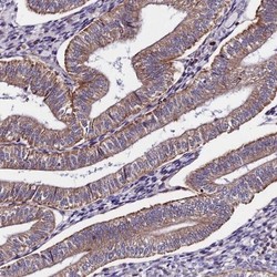
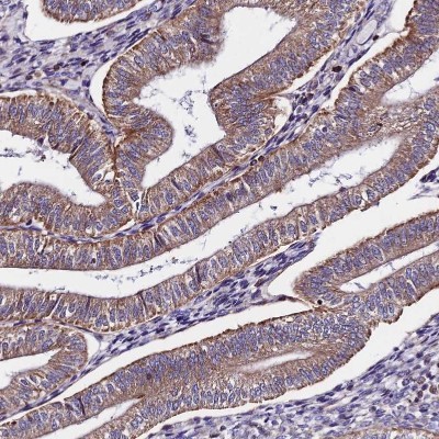
- Immunohistochemistry-Paraffin: VPS13C Antibody [NBP1-94044] - Staining of human stomach shows moderate granular positivity in cytoplasm in glandular cells.
- Submitted by
- Novus Biologicals (provider)
- Main image

- Experimental details
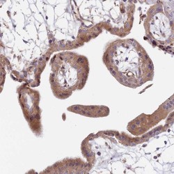
- Immunohistochemistry-Paraffin: VPS13C Antibody [NBP1-94044] - Staining of human placenta shows moderate cytoplasmic positivity in trophoblastic cells.
- Submitted by
- Novus Biologicals (provider)
- Main image

- Experimental details
- Immunohistochemistry-Paraffin: VPS13C Antibody [NBP1-94044] - Staining of human endometrium shows moderate granular positivity in cytoplasm in glandular cells.