Antibody data
- Antibody Data
- Antigen structure
- References [0]
- Comments [0]
- Validations
- Immunohistochemistry [6]
Submit
Validation data
Reference
Comment
Report error
- Product number
- PA5-63565 - Provider product page

- Provider
- Invitrogen Antibodies
- Product name
- SNTN Polyclonal Antibody
- Antibody type
- Polyclonal
- Antigen
- Recombinant protein fragment
- Description
- Immunogen sequence: KAIAKDLLQT QFRNFAEGQE TKPKYREILS ELDEHTENKL DFEDFMILLL SITVMSDLLQ Highest antigen sequence identity to the following orthologs: Mouse - 77%, Rat - 78%.
- Reactivity
- Human
- Host
- Rabbit
- Isotype
- IgG
- Vial size
- 100 μL
- Concentration
- 0.3 mg/mL
- Storage
- Store at 4°C short term. For long term storage, store at -20°C, avoiding freeze/thaw cycles.
No comments: Submit comment
Supportive validation
- Submitted by
- Invitrogen Antibodies (provider)
- Main image

- Experimental details
- Immunohistochemical staining of SNTN in human cerebral cortex using SNTN Polyclonal Antibody (Product # PA5-63565).
- Submitted by
- Invitrogen Antibodies (provider)
- Main image

- Experimental details
- Immunohistochemical staining of SNTN in human fallopian tube and prostate tissues using SNTN Polyclonal Antibody (Product # PA5-63565). Corresponding SNTN RNA-seq data are presented for the same tissues.
- Submitted by
- Invitrogen Antibodies (provider)
- Main image

- Experimental details
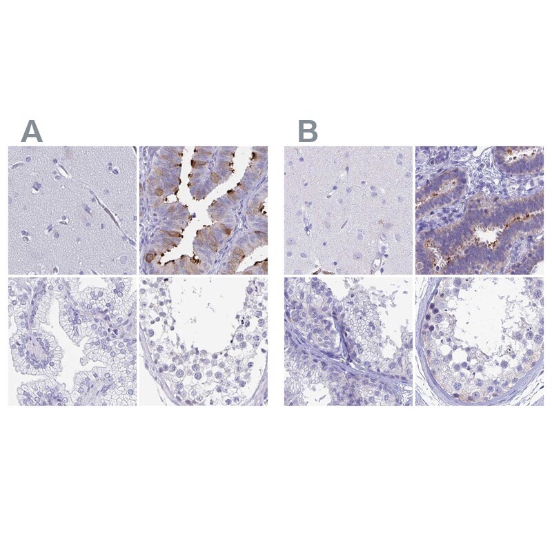
- Immunohistochemical staining of SNTN in human cerebral cortex, fallopian tube, prostate and testis using SNTN Polyclonal Antibody (Product # PA5-63565) (A) shows similar protein distribution across tissues to an independent SNTN Polyclonal Antibody (B).
- Submitted by
- Invitrogen Antibodies (provider)
- Main image

- Experimental details
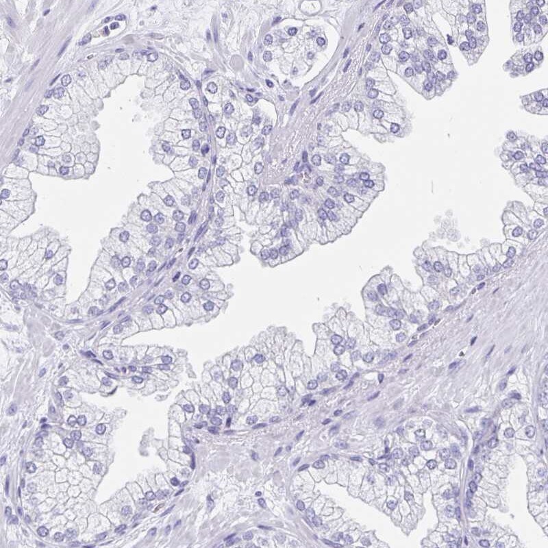
- Immunohistochemical staining of SNTN in human prostate using SNTN Polyclonal Antibody (Product # PA5-63565) shows low expression as expected.
- Submitted by
- Invitrogen Antibodies (provider)
- Main image

- Experimental details
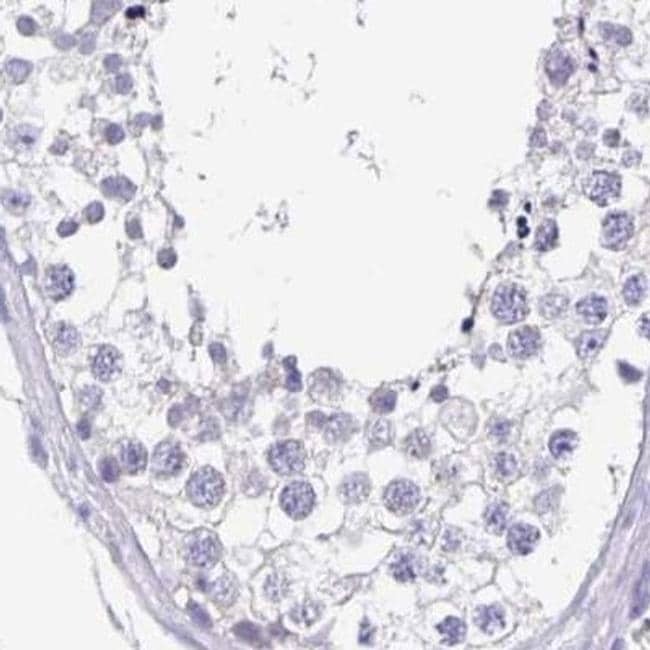
- Immunohistochemical staining of SNTN in human testis using SNTN Polyclonal Antibody (Product # PA5-63565).
- Submitted by
- Invitrogen Antibodies (provider)
- Main image

- Experimental details
- Immunohistochemical analysis of SNTN in human skeletal muscle using SNTN Polyclonal Antibody (Product # PA5-63565) shows negative cytoplasmic positivity in myocytes as expected.