Antibody data
- Antibody Data
- Antigen structure
- References [0]
- Comments [0]
- Validations
- Immunocytochemistry [2]
- Immunohistochemistry [3]
Submit
Validation data
Reference
Comment
Report error
- Product number
- PA5-57301 - Provider product page

- Provider
- Invitrogen Antibodies
- Product name
- TTC21A Polyclonal Antibody
- Antibody type
- Polyclonal
- Antigen
- Recombinant protein fragment
- Description
- Immunogen sequence: QGAESNYMEK KELEQQGVST AEKLLREFYP HSDSSQTQLR LLQGLCRLAT REKANMEAAL GSFIQIAQAE KDSVPALLAL AQAYVFLKQI PK Highest antigen sequence identity to the following orthologs: Mouse - 72%, Rat - 72%.
- Reactivity
- Human
- Host
- Rabbit
- Isotype
- IgG
- Vial size
- 100 μL
- Concentration
- 0.2 mg/mL
- Storage
- Store at 4°C short term. For long term storage, store at -20°C, avoiding freeze/thaw cycles.
No comments: Submit comment
Supportive validation
- Submitted by
- Invitrogen Antibodies (provider)
- Main image

- Experimental details
- Immunofluorescent staining of TTC21A in human cell line U-251 MG shows positivity in centrosome & nucleus but excluded from the nucleoli. Samples were probed using a TTC21A Polyclonal Antibody (Product # PA5-57301).
- Submitted by
- Invitrogen Antibodies (provider)
- Main image

- Experimental details
- Immunofluorecent analysis of TTC21A in human cell line U-251 MG using TTC21A Polyclonal Antibody (Product # PA5-57301). Staining shows localization to nucleoplasm and centrosome.
Supportive validation
- Submitted by
- Invitrogen Antibodies (provider)
- Main image

- Experimental details
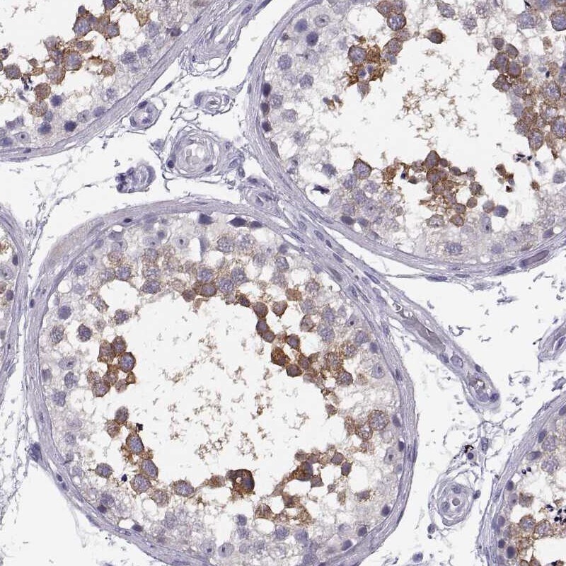
- Immunohistochemical staining of TTC21A in human testis using TTC21A Polyclonal Antibody (Product # PA5-57301) shows high expression.
- Submitted by
- Invitrogen Antibodies (provider)
- Main image

- Experimental details
- Immunohistochemical staining of TTC21A in human endometrium using TTC21A Polyclonal Antibody (Product # PA5-57301) shows low expression as expected.
- Submitted by
- Invitrogen Antibodies (provider)
- Main image

- Experimental details
- Immunohistochemical staining of TTC21A in human testis and endometrium tissues using TTC21A Polyclonal Antibody (Product # PA5-57301). Corresponding TTC21A RNA-seq data are presented for the same tissues.