Antibody data
- Antibody Data
- Antigen structure
- References [0]
- Comments [0]
- Validations
- Immunocytochemistry [1]
- Immunohistochemistry [1]
Submit
Validation data
Reference
Comment
Report error
- Product number
- PA5-58090 - Provider product page

- Provider
- Invitrogen Antibodies
- Product name
- MBLAC2 Polyclonal Antibody
- Antibody type
- Polyclonal
- Antigen
- Recombinant protein fragment
- Description
- Immunogen sequence: RGDNFETVTW LSDSEVVRAP SPGWRARQFR VQAVQPTLIL QDGDVINLGD RQLTVMHMPG HSRGSICLHD KDRKILFSGD VVYDGSLI Highest antigen sequence identity to the following orthologs: Mouse - 99%, Rat - 99%.
- Reactivity
- Human
- Host
- Rabbit
- Isotype
- IgG
- Vial size
- 100 μL
- Concentration
- 0.2 mg/mL
- Storage
- Store at 4°C short term. For long term storage, store at -20°C, avoiding freeze/thaw cycles.
No comments: Submit comment
Supportive validation
- Submitted by
- Invitrogen Antibodies (provider)
- Main image

- Experimental details
- Immunofluorescent staining of MBLAC2 in human cell line U-2 OS shows positivity in intermediate filaments. Samples were probed using a MBLAC2 Polyclonal Antibody (Product # PA5-58090).
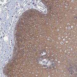
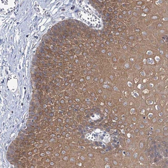
Supportive validation
- Submitted by
- Invitrogen Antibodies (provider)
- Main image

- Experimental details
- Immunohistochemical analysis of MBLAC2 in human esophagus using MBLAC2 Polyclonal Antibody (Product # PA5-58090) shows moderate cytoplasmic positivity in squamous epithelial cells.