Antibody data
- Antibody Data
- Antigen structure
- References [0]
- Comments [0]
- Validations
- Immunocytochemistry [2]
- Immunohistochemistry [1]
Submit
Validation data
Reference
Comment
Report error
- Product number
- PA5-58942 - Provider product page

- Provider
- Invitrogen Antibodies
- Product name
- KDELC2 Polyclonal Antibody
- Antibody type
- Polyclonal
- Antigen
- Recombinant protein fragment
- Description
- Immunogen sequence: YHEYCECPED PQAWQKTLSC PTKEPQIAKD FASFPSINLQ QMLKEVPKRF GDERGAIVHY TILNNHVYRR SLGKYTDFKM FSDEI Highest antigen sequence identity to the following orthologs: Mouse - 86%, Rat - 91%.
- Reactivity
- Human
- Host
- Rabbit
- Isotype
- IgG
- Vial size
- 100 μL
- Concentration
- 0.1 mg/mL
- Storage
- Store at 4°C short term. For long term storage, store at -20°C, avoiding freeze/thaw cycles.
No comments: Submit comment
Supportive validation
- Submitted by
- Invitrogen Antibodies (provider)
- Main image

- Experimental details
- Immunofluorescent staining of KDELC2 in human cell line U-251 MG shows positivity in vesicles & nucleus but excluded from the nucleoli. Samples were probed using a KDELC2 Polyclonal Antibody (Product # PA5-58942).
- Submitted by
- Invitrogen Antibodies (provider)
- Main image

- Experimental details
- Immunofluorecent analysis of KDELC2 in human cell line U-251 MG using KDELC2 Polyclonal Antibody (Product # PA5-58942). Staining shows localization to nucleoplasm and vesicles.
Supportive validation
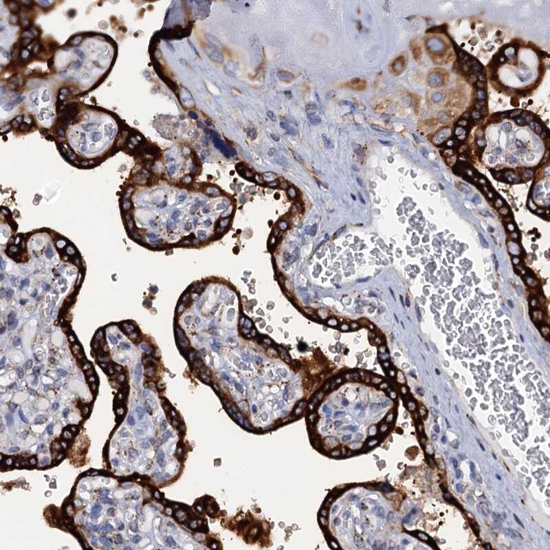
- Submitted by
- Invitrogen Antibodies (provider)
- Main image

- Experimental details
- Immunohistochemical analysis of KDELC2 in human placenta using KDELC2 Polyclonal Antibody (Product # PA5-58942) shows strong cytoplasmic positivity in trophoblastic cells.