Antibody data
- Antibody Data
- Antigen structure
- References [0]
- Comments [0]
- Validations
- Immunohistochemistry [1]
Submit
Validation data
Reference
Comment
Report error
- Product number
- PAB23199 - Provider product page

- Provider
- Abnova Corporation
- Proper citation
- Abnova Corporation Cat#PAB23199, RRID:AB_11121386
- Product name
- MAP6D1 polyclonal antibody
- Antibody type
- Polyclonal
- Description
- Rabbit polyclonal antibody raised against recombinant MAP6D1.
- Antigen sequence
GKSSAQSSAPPAPGARGVYVLPIGDADAAAAVTTS
YRQEFQAWTGVKPSRSTKTKPARVITTHTSGWDSS
PGAGFQVPEVRKKFTPNPSAIFQASAP- Isotype
- IgG
- Storage
- Store at 4°C. For long term storage store at -20°C.Aliquot to avoid repeated freezing and thawing.
No comments: Submit comment
Supportive validation
- Submitted by
- Abnova Corporation (provider)
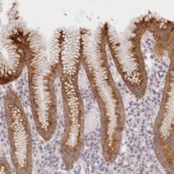
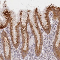
- Main image

- Experimental details
- Immunohistochemical staining of human stomach with MAP6D1 polyclonal antibody (Cat # PAB23199) shows strong cytoplasmic positivity in glandular cells at 1:50-1:200 dilution.
- Validation comment
- Immunohistochemistry (Formalin/PFA-fixed paraffin-embedded sections)