Antibody data
- Antibody Data
- Antigen structure
- References [0]
- Comments [0]
- Validations
- Western blot [3]
- Immunocytochemistry [2]
- Immunohistochemistry [2]
- Flow cytometry [1]
Submit
Validation data
Reference
Comment
Report error
- Product number
- 66173-1-IG - Provider product page

- Provider
- Invitrogen Antibodies
- Product name
- CNPY2/MSAP Monoclonal Antibody (1G8G11)
- Antibody type
- Monoclonal
- Antigen
- Other
- Reactivity
- Human, Mouse, Rat, Porcine
- Host
- Mouse
- Isotype
- IgG
- Antibody clone number
- 1G8G11
- Vial size
- 150 µL
- Concentration
- 1.13 mg/mL
- Storage
- -20°C
No comments: Submit comment
Supportive validation
- Submitted by
- Invitrogen Antibodies (provider)
- Main image

- Experimental details
- Rat liver tissue were subjected to SDS PAGE followed by western blot with 66173-1-Ig (CNPY2, MSAP antibody at dilution of 1:2000 incubated at room temperature for 1.5 hours.
- Submitted by
- Invitrogen Antibodies (provider)
- Main image

- Experimental details
- Human placenta tissue were subjected to SDS PAGE followed by western blot with 66173-1-Ig (CNPY2, MSAP antibody at dilution of 1:1000 incubated at room temperature for 1.5 hours.
- Submitted by
- Invitrogen Antibodies (provider)
- Main image

- Experimental details
- HepG2 cells were subjected to SDS PAGE followed by western blot with 66173-1-IG ( CNPY2, MSAP antibody at dilution of 1:1000 incubated at room temperature for 1.5 hours.
Supportive validation
- Submitted by
- Invitrogen Antibodies (provider)
- Main image

- Experimental details
- Immunofluorescent analysis of ( 10% Formaldehyde ) fixed HepG2 cells using 66173-1-IG (CNPY2, MSAP antibody) at dilution of 1:50 and Alexa Fluor 488-conjugated AffiniPure Goat Anti-mouse IGG (H+L).
- Submitted by
- Invitrogen Antibodies (provider)
- Main image

- Experimental details
- Immunofluorescent analysis of ( 10% Formaldehyde ) fixed HepG2 cells using 66173-1-IG (CNPY2, MSAP antibody) at dilution of 1:50 and Alexa Fluor 488-conjugated AffiniPure Goat Anti-mouse IGG (H+L).
Supportive validation
- Submitted by
- Invitrogen Antibodies (provider)
- Main image

- Experimental details
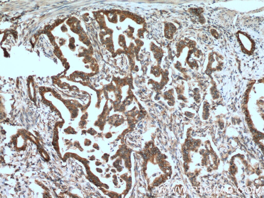
- Immunohistochemistry of paraffin-embedded human pancreas cancer tissue slide using 66173-1-IG ( CNPY2, MSAP antibody at dilution of 1:500 (under 10x lens). heat mediated antigen retrieved with Tris-EDTA buffer (pH 9).
- Submitted by
- Invitrogen Antibodies (provider)
- Main image

- Experimental details
- Immunohistochemistry of paraffin-embedded human pancreas cancer tissue slide using 66173-1-IG ( CNPY2, MSAP antibody at dilution of 1:500 (under 40x lens). heat mediated antigen retrieved with Tris-EDTA buffer (pH 9).
Supportive validation
- Submitted by
- Invitrogen Antibodies (provider)
- Main image

- Experimental details
- 1X10^6 HepG2 cells were stained with 0.20ug CNPY2, MSAP antibody (66173-1-IG, red) and control antibody (blue). Fixed with 90% MeOH.