Antibody data
- Antibody Data
- Antigen structure
- References [0]
- Comments [0]
- Validations
- Immunocytochemistry [1]
- Immunohistochemistry [1]
Submit
Validation data
Reference
Comment
Report error
- Product number
- PAB28327 - Provider product page

- Provider
- Abnova Corporation
- Product name
- LOC728597 polyclonal antibody
- Antibody type
- Polyclonal
- Description
- Rabbit polyclonal antibody raised against recombinant LOC728597.
- Antigen sequence
KEPCKYDGIPPKTQDSVYYAKEEKKKTLAEPLVQR
GAEGDVYKAPTPSKETQGALDVKEEHNVQLEVPVD
Q- Isotype
- IgG
- Storage
- Store at 4°C. For long term storage store at -20°C.Aliquot to avoid repeated freezing and thawing.
No comments: Submit comment
Supportive validation
- Submitted by
- Abnova Corporation (provider)
- Main image

- Experimental details
- Immunofluorescent staining of human cell line U-251 MG with LOC728597 polyclonal antibody ( Cat # PAB28327 ) at 1-4 ug/mL dilution shows positivity in nucleoli & cytoplasm.
- Validation comment
- Immunofluorescence
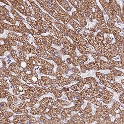
Supportive validation
- Submitted by
- Abnova Corporation (provider)
- Main image

- Experimental details
- Immunohistochemical staining of human liver with LOC728597 polyclonal antibody ( Cat # PAB28327 ) shows strong cytoplasmic positivity in hepatocytes at 1:200 - 1:500 dilution.
- Validation comment
- Immunohistochemistry (Formalin/PFA-fixed paraffin-embedded sections)