Antibody data
- Antibody Data
- Antigen structure
- References [0]
- Comments [0]
- Validations
- Immunocytochemistry [1]
- Immunohistochemistry [4]
Submit
Validation data
Reference
Comment
Report error
- Product number
- PA5-57384 - Provider product page

- Provider
- Invitrogen Antibodies
- Product name
- LRRC34 Polyclonal Antibody
- Antibody type
- Polyclonal
- Antigen
- Recombinant protein fragment
- Description
- Immunogen sequence: LHILQEVDEE IKKGLAAGIT LNIAGNNRLV PVERVTGEDF WILSKILKNC LYINGLDVGY NLLCDVGAYY AAKLLQKQ Highest antigen sequence identity to the following orthologs: Mouse - 64%, Rat - 64%.
- Reactivity
- Human
- Host
- Rabbit
- Isotype
- IgG
- Vial size
- 100 μL
- Concentration
- 0.05 mg/mL
- Storage
- Store at 4°C short term. For long term storage, store at -20°C, avoiding freeze/thaw cycles.
No comments: Submit comment
Supportive validation
- Submitted by
- Invitrogen Antibodies (provider)
- Main image

- Experimental details
- Immunofluorecent analysis of LRRC34 in human cell line U-2 OS using LRRC34 Polyclonal Antibody (Product # PA5-57384). Staining shows localization to microtubules, cytokinetic bridge and cell junctions.
Supportive validation
- Submitted by
- Invitrogen Antibodies (provider)
- Main image

- Experimental details
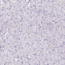
- Immunohistochemical analysis of LRRC34 in human liver using LRRC34 Polyclonal Antibody (Product # PA5-57384) shows no positivity in hepatocytes as expected.
- Submitted by
- Invitrogen Antibodies (provider)
- Main image

- Experimental details
- Immunohistochemical analysis of LRRC34 in human skeletal muscle using LRRC34 Polyclonal Antibody (Product # PA5-57384) shows no positivity in myocytes as expected.
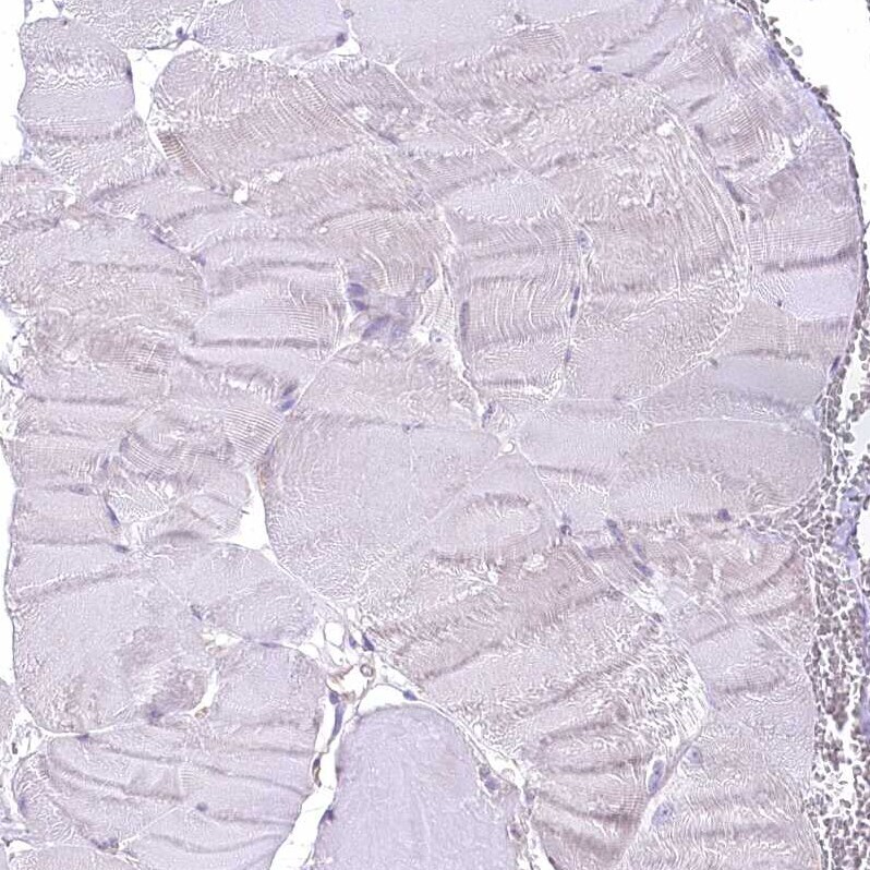
- Submitted by
- Invitrogen Antibodies (provider)
- Main image

- Experimental details
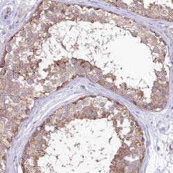
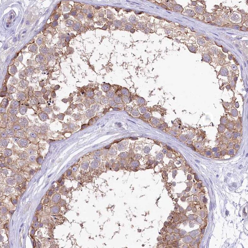
- Immunohistochemical analysis of LRRC34 in human testis using LRRC34 Polyclonal Antibody (Product # PA5-57384) shows moderate cytoplasmic positivity in cells in seminiferous ducts.
- Submitted by
- Invitrogen Antibodies (provider)
- Main image

- Experimental details
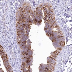
- Immunohistochemical analysis of LRRC34 in human fallopian tube using LRRC34 Polyclonal Antibody (Product # PA5-57384) shows moderate membranous and cytoplasmic positivity in glandular cells.