Antibody data
- Antibody Data
- Antigen structure
- References [0]
- Comments [0]
- Validations
- Western blot [1]
- Immunohistochemistry [1]
Submit
Validation data
Reference
Comment
Report error
- Product number
- BS-15009R - Provider product page

- Provider
- Invitrogen Antibodies
- Product name
- C1orf113 Polyclonal Antibody
- Antibody type
- Polyclonal
- Antigen
- Synthetic peptide
- Reactivity
- Human, Mouse, Rat
- Host
- Rabbit
- Isotype
- IgG
- Vial size
- 100 µL
- Concentration
- 1 mg/mL
- Storage
- -20°C
No comments: Submit comment
Supportive validation
- Submitted by
- Invitrogen Antibodies (provider)
- Main image

- Experimental details
- Lane 1: Tev-1 lysates probed with C1orf113 Polyclonal Antibody (bs-15009R) at 1:300 overnight at 4°C. Followed by a conjugated secondary antibody at 1:5000 for 90 min at 37°C.
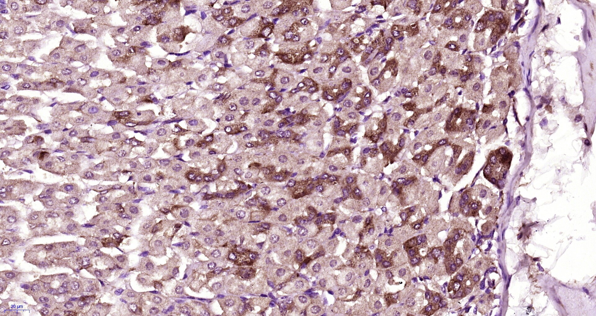
Supportive validation
- Submitted by
- Invitrogen Antibodies (provider)
- Main image

- Experimental details
- Paraformaldehyde-fixed, paraffin embedded Mouse stomach; Antigen retrieval by boiling in sodium citrate buffer (pH6.0) for 15min; Block endogenous peroxidase by 3% hydrogen peroxide for 20 minutes; Blocking buffer (normal goat serum) at 37°C for 30min; Antibody incubation with C1orf113 Polyclonal Antibody, Unconjugated (bs-15009R) at 1:400 overnight at 4°C, followed by a conjugated secondary and DAB staining.