Antibody data
- Antibody Data
- Antigen structure
- References [2]
- Comments [0]
- Validations
- Western blot [1]
- Immunohistochemistry [1]
Submit
Validation data
Reference
Comment
Report error
- Product number
- ABIN950773 - Provider product page

- Provider
- antibodies-online
- Product name
- anti-Chromosome 16 Open Reading Frame 45 (C16orf45) (AA 89-119), (Middle Region) antibody
- Antibody type
- Polyclonal
- Description
- Affinity Chromatography on Protein A
- Reactivity
- Human
- Host
- Rabbit
- Epitope
- AA 89-119, Middle Region
- Vial size
- 0.4 mL
- Handling
- Avoid repeated freezing and thawing.
Submitted references hORFeome v3.1: a resource of human open reading frames representing over 10,000 human genes.
Genome duplications and other features in 12 Mb of DNA sequence from human chromosome 16p and 16q.
Lamesch P, Li N, Milstein S, Fan C, Hao T, Szabo G, Hu Z, Venkatesan K, Bethel G, Martin P, Rogers J, Lawlor S, McLaren S, Dricot A, Borick H, Cusick ME, Vandenhaute J, Dunham I, Hill DE, Vidal M
Genomics 2007 Mar;89(3):307-15
Genomics 2007 Mar;89(3):307-15
Genome duplications and other features in 12 Mb of DNA sequence from human chromosome 16p and 16q.
Loftus BJ, Kim UJ, Sneddon VP, Kalush F, Brandon R, Fuhrmann J, Mason T, Crosby ML, Barnstead M, Cronin L, Deslattes Mays A, Cao Y, Xu RX, Kang HL, Mitchell S, Eichler EE, Harris PC, Venter JC, Adams MD
Genomics 1999 Sep 15;60(3):295-308
Genomics 1999 Sep 15;60(3):295-308
No comments: Submit comment
Supportive validation
- Submitted by
- antibodies-online (provider)
- Main image

- Experimental details
- WB
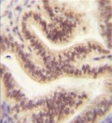
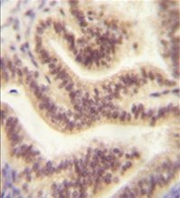
Supportive validation
- Submitted by
- antibodies-online (provider)
- Main image

- Experimental details
- IHC