Antibody data
- Antibody Data
- Antigen structure
- References [0]
- Comments [0]
- Validations
- Western blot [1]
- Immunohistochemistry [1]
Submit
Validation data
Reference
Comment
Report error
- Product number
- AP51042PU-N - Provider product page

- Provider
- OriGene
- Product name
- BMERB1 (Center) rabbit polyclonal antibody, Aff - Purified
- Antibody type
- Polyclonal
- Description
- BMERB1 (Center) rabbit polyclonal antibody, Aff - Purified
- Host
- Rabbit
- Conjugate
- Unconjugated
- Epitope
- BMERB1
- Antibody clone number
- NULL
- Vial size
- 400 µl
- Concentration
- lot specific
No comments: Submit comment
Supportive validation
- Submitted by
- OriGene (provider)
- Main image

- Experimental details
- Western blot analysis of C16orf45?Antibody (Center) ??in NCI-H460 cell line lysates (35ug/lane).This demonstrates the CP045 antibody detected the CP045 protein (arrow).
- Validation comment
- WB
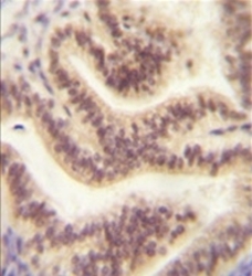
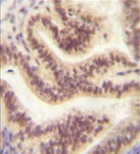
Supportive validation
- Submitted by
- OriGene (provider)
- Main image

- Experimental details
- Formalin fixed, paraffin embedded human uterus tissue stained with C16orf45?Antibody (Center) ??followed by peroxidase conjugation of the secondary antibody and DAB staining. This data demonstrates the use of the CP045 antibody (Center) for immunohistochemistry. Clinical relevance has not been evaluated.
- Validation comment
- IHC