Antibody data
- Antibody Data
- Antigen structure
- References [1]
- Comments [0]
- Validations
- Western blot [1]
- Immunohistochemistry [1]
Submit
Validation data
Reference
Comment
Report error
- Product number
- NBP1-03346 - Provider product page

- Provider
- Novus Biologicals
- Proper citation
- Novus Cat#NBP1-03346, RRID:AB_1520680
- Product name
- Rabbit Polyclonal CHTF18 Antibody
- Antibody type
- Polyclonal
- Description
- Immunogen affinity purified.
- Reactivity
- Human
- Host
- Rabbit
- Isotype
- IgG
- Vial size
- 0.1 ml
- Concentration
- 0.2 mg/ml
- Storage
- Store at 4C. Do not freeze.
Submitted references Sequencing of candidate chromosome instability genes in endometrial cancers reveals somatic mutations in ESCO1, CHTF18, and MRE11A.
Price JC, Pollock LM, Rudd ML, Fogoros SK, Mohamed H, Hanigan CL, Le Gallo M, NIH Intramural Sequencing Center (NISC) Comparative Sequencing Program., Zhang S, Cruz P, Cherukuri PF, Hansen NF, McManus KJ, Godwin AK, Sgroi DC, Mullikin JC, Merino MJ, Hieter P, Bell DW
PloS one 2014;8(6):e63313
PloS one 2014;8(6):e63313
No comments: Submit comment
Supportive validation
- Submitted by
- Novus Biologicals (provider)
- Main image

- Experimental details
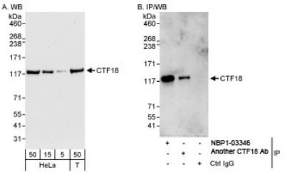
- Western Blot: CHTF18 Antibody [NBP1-03346] - Whole cell lysate from HeLa (5, 15 and 50 mcg for WB; 1 mg for IP, 20% of IP loaded) and 293T (T; 50 mcg) cells. NBP1-03346 used for WB at 0.04 mcg/ml (A) and 1 mcg/ml (B) and used for IP at 3 mcg/mg lysate.
Supportive validation
- Submitted by
- Novus Biologicals (provider)
- Main image

- Experimental details
- Immunohistochemistry-Paraffin: CHTF18 Antibody [NBP1-03346] - Human stomach carcinoma. Antibody used at a dilution of 1:200 (1ug/ml).