Antibody data
- Antibody Data
- Antigen structure
- References [0]
- Comments [0]
- Validations
- Immunohistochemistry [3]
Submit
Validation data
Reference
Comment
Report error
- Product number
- PA5-61028 - Provider product page

- Provider
- Invitrogen Antibodies
- Product name
- FAM166B Polyclonal Antibody
- Antibody type
- Polyclonal
- Antigen
- Recombinant protein fragment
- Description
- Immunogen sequence: RAQFIFAKNC SQVWAEALSD FTHLHEKQGS EELPKEAKGR KDTEKDQVPE PEGQLEEPTL EVVEQASPYS MDDRDPRKFF MSGFTGYVPC ARFLFGSSF Highest antigen sequence identity to the following orthologs: Mouse - 66%, Rat - 25%.
- Reactivity
- Human
- Host
- Rabbit
- Isotype
- IgG
- Vial size
- 100 μL
- Concentration
- 0.05 mg/mL
- Storage
- Store at 4°C short term. For long term storage, store at -20°C, avoiding freeze/thaw cycles.
No comments: Submit comment
Supportive validation
- Submitted by
- Invitrogen Antibodies (provider)
- Main image

- Experimental details
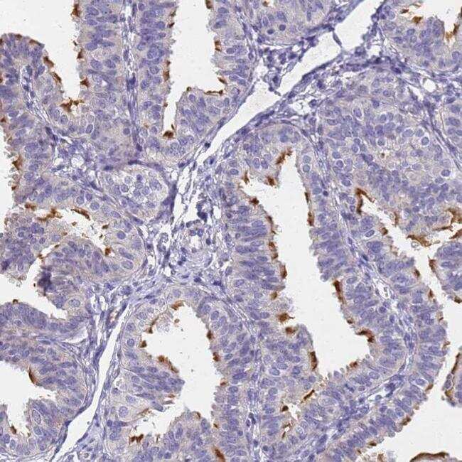
- Immunohistochemical analysis of FAM166B in human fallopian tube using FAM166B Polyclonal Antibody (Product # PA5-61028) shows high expression.
- Submitted by
- Invitrogen Antibodies (provider)
- Main image

- Experimental details
- Immunohistochemical staining of FAM166B in human fallopian tube and prostate tissues using FAM166B Polyclonal Antibody (Product # PA5-61028). Corresponding FAM166B RNA-seq data are presented for the same tissues.
- Submitted by
- Invitrogen Antibodies (provider)
- Main image

- Experimental details
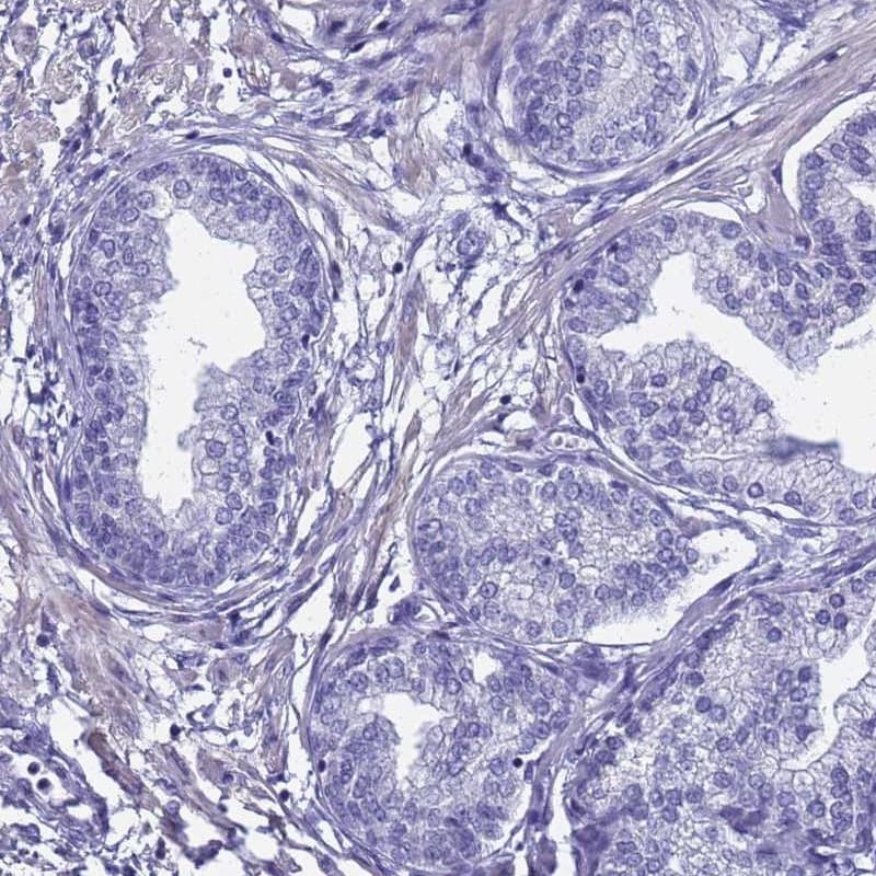
- Immunohistochemical staining of FAM166B in human prostate using FAM166B Polyclonal Antibody (Product # PA5-61028) shows low expression as expected.