Antibody data
- Antibody Data
- Antigen structure
- References [0]
- Comments [0]
- Validations
- Immunohistochemistry [1]
Submit
Validation data
Reference
Comment
Report error
- Product number
- PAB24289 - Provider product page

- Provider
- Abnova Corporation
- Proper citation
- Abnova Corporation Cat#PAB24289, RRID:AB_11118714
- Product name
- KRT73 polyclonal antibody
- Antibody type
- Polyclonal
- Antigen
- Recombinant protein corresponding to amino acids of human KRT73.
- Reactivity
- Human
- Host
- Rabbit
- Antigen sequence
VINSSMAGMAGTGAGFGFSNAGTYGYWPSSVSGGY
SMLPGGCVTGSGNCSPRGEARTRLGSASEFRDSQG
KTLA- Isotype
- IgG
- Vial size
- 100 µl
- Storage
- Store at 4°C. For long term storage store at -20°C.Aliquot to avoid repeated freezing and thawing.
No comments: Submit comment
Supportive validation
- Submitted by
- Abnova Corporation (provider)
- Main image

- Experimental details
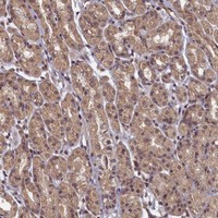
- Immunohistochemical staining of human stomach with KRT73 polyclonal antibody (Cat # PAB24289) shows moderate cytoplasmic and occasional nuclear positivity in glandular cells at 1:10-1:20 dilution.
- Validation comment
- Immunohistochemistry (Formalin/PFA-fixed paraffin-embedded sections)