Antibody data
- Antibody Data
- Antigen structure
- References [0]
- Comments [0]
- Validations
- Immunohistochemistry [4]
Submit
Validation data
Reference
Comment
Report error
- Product number
- PA5-83699 - Provider product page

- Provider
- Invitrogen Antibodies
- Product name
- KRT73 Polyclonal Antibody
- Antibody type
- Polyclonal
- Antigen
- Recombinant protein fragment
- Description
- Immunogen sequence: VINSSMAGMA GTGAGFGFSN AGTYGYWPSS VSGGYSMLPG GCVTGSGNCS PRGEARTRLG SASEFRDSQG KTLA
- Reactivity
- Human
- Host
- Rabbit
- Isotype
- IgG
- Vial size
- 100 μL
- Concentration
- 0.05 mg/mL
- Storage
- Store at 4°C short term. For long term storage, store at -20°C, avoiding freeze/thaw cycles.
No comments: Submit comment
Supportive validation
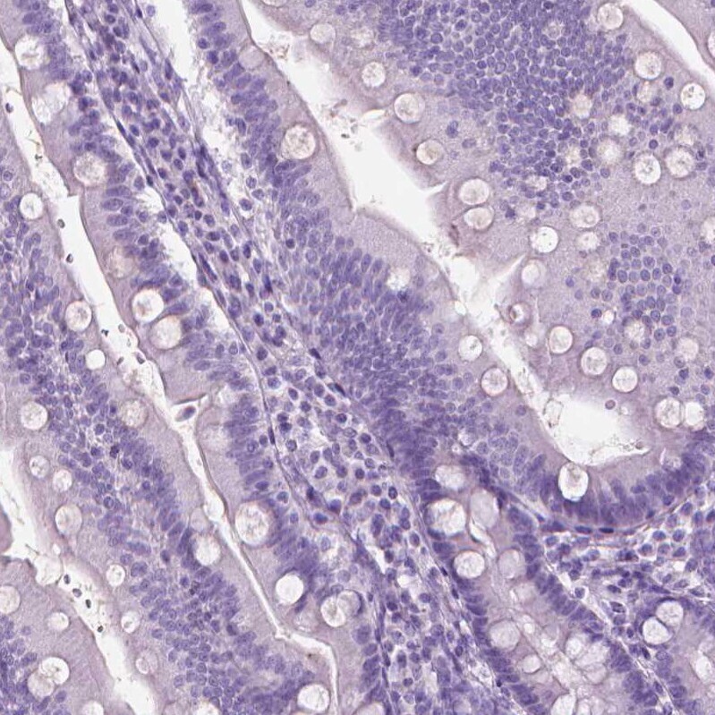
- Submitted by
- Invitrogen Antibodies (provider)
- Main image

- Experimental details
- Immunohistochemical analysis of KRT73 in human gastrointestinal using KRT73 Polyclonal Antibody (Product # PA5-83699) shows no positivity in glandular cells as expected.
- Submitted by
- Invitrogen Antibodies (provider)
- Main image

- Experimental details
- Immunohistochemical analysis of KRT73 in human prostate using KRT73 Polyclonal Antibody (Product # PA5-83699) shows no positivity in glandular cells as expected.
- Submitted by
- Invitrogen Antibodies (provider)
- Main image

- Experimental details
- Immunohistochemical analysis of KRT73 in human cerebral cortex using KRT73 Polyclonal Antibody (Product # PA5-83699) shows no positivity in neuronal cells as expected.
- Submitted by
- Invitrogen Antibodies (provider)
- Main image

- Experimental details
- Immunohistochemical analysis of KRT73 in human skin using KRT73 Polyclonal Antibody (Product # PA5-83699) shows strong cytoplasmic positivity in hair follicle.