Antibody data
- Antibody Data
- Antigen structure
- References [0]
- Comments [0]
- Validations
- Immunohistochemistry [4]
Submit
Validation data
Reference
Comment
Report error
- Product number
- PA5-57810 - Provider product page

- Provider
- Invitrogen Antibodies
- Product name
- C5orf42 Polyclonal Antibody
- Antibody type
- Polyclonal
- Antigen
- Recombinant protein fragment
- Description
- Immunogen sequence: IAENIEQDFP KPEMLDLHCD KIGPVDHIEF SSGPEFKKTL ASKTISISEE VRFLTHMDEE DQSDKKETSE PEFSITE Highest antigen sequence identity to the following orthologs: Mouse - 57%, Rat - 29%.
- Reactivity
- Human
- Host
- Rabbit
- Isotype
- IgG
- Vial size
- 100 μL
- Concentration
- 0.2 mg/mL
- Storage
- Store at 4°C short term. For long term storage, store at -20°C, avoiding freeze/thaw cycles.
No comments: Submit comment
Supportive validation
- Submitted by
- Invitrogen Antibodies (provider)
- Main image

- Experimental details
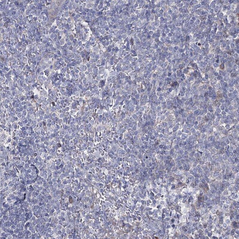
- Immunohistochemical analysis of C5orf42 in human tonsil using C5orf42 Polyclonal Antibody (Product # PA5-57810) shows no positivity in non-germinal center cells as expected.
- Submitted by
- Invitrogen Antibodies (provider)
- Main image

- Experimental details
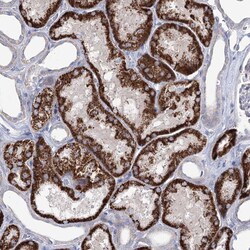
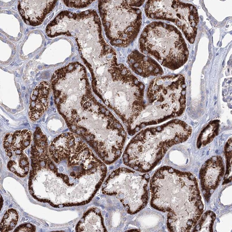
- Immunohistochemical analysis of C5orf42 in human kidney using C5orf42 Polyclonal Antibody (Product # PA5-57810) shows strong granular cytoplasmic positivity in cells in tubules.
- Submitted by
- Invitrogen Antibodies (provider)
- Main image

- Experimental details
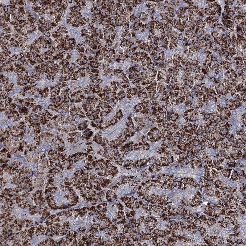
- Immunohistochemical analysis of C5orf42 in human pancreas using C5orf42 Polyclonal Antibody (Product # PA5-57810) shows strong granular cytoplasmic positivity in exocrine glandular cells.
- Submitted by
- Invitrogen Antibodies (provider)
- Main image

- Experimental details
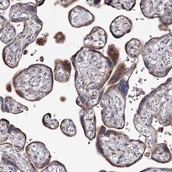
- Immunohistochemical analysis of C5orf42 in human placenta using C5orf42 Polyclonal Antibody (Product # PA5-57810) shows moderate granular cytoplasmic positivity in trophoblastic cells.