Antibody data
- Antibody Data
- Antigen structure
- References [0]
- Comments [0]
- Validations
- Immunocytochemistry [2]
- Immunohistochemistry [4]
Submit
Validation data
Reference
Comment
Report error
- Product number
- PA5-57811 - Provider product page

- Provider
- Invitrogen Antibodies
- Product name
- C5orf42 Polyclonal Antibody
- Antibody type
- Polyclonal
- Antigen
- Recombinant protein fragment
- Description
- Immunogen sequence: LREHELNSLL FDVHTTLKRH QSKTKSQNVF RAGSCFVVAP ESYESEKSSS LNDEYGMHLE NQKLSSSVLV NQGIKPFLQY PSNEVNKNEG MSGLFG Highest antigen sequence identity to the following orthologs: Mouse - 53%, Rat - 56%.
- Reactivity
- Human
- Host
- Rabbit
- Isotype
- IgG
- Vial size
- 100 μL
- Concentration
- 0.10 mg/mL
- Storage
- Store at 4°C short term. For long term storage, store at -20°C, avoiding freeze/thaw cycles.
No comments: Submit comment
Supportive validation
- Submitted by
- Invitrogen Antibodies (provider)
- Main image

- Experimental details
- Immunofluorescent staining of C5orf42 in human cell line A-431 using a C5orf42 Polyclonal Antibody (Product # PA5-57811) shows localization to cytosol.
- Submitted by
- Invitrogen Antibodies (provider)
- Main image

- Experimental details
- Immunofluorescent staining of C5orf42 in human cell line A-431 using a C5orf42 Polyclonal Antibody (Product # PA5-57811) shows localization to cytosol.
Supportive validation
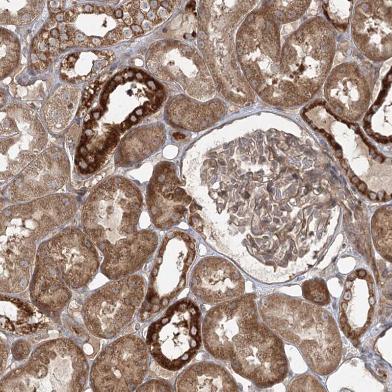
- Submitted by
- Invitrogen Antibodies (provider)
- Main image

- Experimental details
- Immunohistochemical analysis of C5orf42 in human Kidney using C5orf42 Polyclonal Antibody (Product # PA5-57811) shows strong membranous and cytoplasmic positivity in cells in tubules and glomeruli.
- Submitted by
- Invitrogen Antibodies (provider)
- Main image

- Experimental details
- Immunohistochemical analysis of C5orf42 in human Heart muscle using C5orf42 Polyclonal Antibody (Product # PA5-57811) shows strong cytoplasmic positivity in cardiomyocytes.
- Submitted by
- Invitrogen Antibodies (provider)
- Main image

- Experimental details
- Immunohistochemical analysis of C5orf42 in human Skin using C5orf42 Polyclonal Antibody (Product # PA5-57811) shows strong cytoplasmic positivity in epidermal cells.
- Submitted by
- Invitrogen Antibodies (provider)
- Main image

- Experimental details
- Immunohistochemical analysis of C5orf42 in human Cerebellum using C5orf42 Polyclonal Antibody (Product # PA5-57811) shows strong cytoplasmic positivity in Purkinje cells.