Antibody data
- Antibody Data
- Antigen structure
- References [0]
- Comments [0]
- Validations
- Immunohistochemistry [2]
Submit
Validation data
Reference
Comment
Report error
- Product number
- LS-C371572 - Provider product page

- Provider
- LSBio
- Product name
- KRT77 / Keratin 77 / KRT1B Antibody (aa1-578) LS-C371572
- Antibody type
- Polyclonal
- Description
- Caprylic acid and ammonium sulfate precipitation
- Reactivity
- Human
- Host
- Rabbit
- Isotype
- IgG
- Storage
- Short term: -20°C; Long term: -80°C; Avoid freeze-thaw cycles.
No comments: Submit comment
Supportive validation
- Submitted by
- LSBio (provider)
- Enhanced method
- Genetic validation
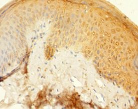
- Main image

- Experimental details
- Immunohistochemistry of paraffin-embedded human skin tissue using antibody at 1:100 dilution. This image was taken for the unconjugated form of this product. Other forms have not been tested.
- Submitted by
- LSBio (provider)
- Enhanced method
- Genetic validation
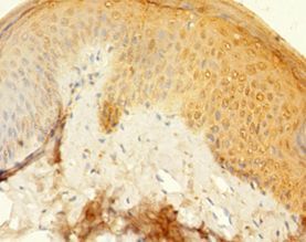
- Main image

- Experimental details
- Immunohistochemistry of paraffin-embedded human skin tissue using antibody at 1:100 dilution. This image was taken for the unconjugated form of this product. Other forms have not been tested.