Antibody data
- Antibody Data
- Antigen structure
- References [0]
- Comments [0]
- Validations
- Western blot [2]
- Immunohistochemistry [5]
Submit
Validation data
Reference
Comment
Report error
- Product number
- NBP1-90417 - Provider product page 
- Provider
- Novus Biologicals
- Proper citation
- Novus Cat#NBP1-90417, RRID:AB_11027194
- Product name
- Rabbit Polyclonal RyDEN Antibody
- Antibody type
- Polyclonal
- Description
- Immunogen affinity purified. Specificity of human RyDEN antibody verified on a Protein Array containing target protein plus 383 other non-specific proteins.
- Reactivity
- Human
- Host
- Rabbit
- Isotype
- IgG
- Vial size
- 0.1 ml
- Storage
- Store at 4C short term. Aliquot and store at -20C long term. Avoid freeze-thaw cycles.
				No comments: Submit comment	
	
			
							
					Supportive validation
					
									
				
				- Submitted by
- Novus Biologicals (provider)
- Main image
 
- Experimental details
- Western Blot: C19orf66 Antibody [NBP1-90417] - Analysis in human cell line HDLM-2.
- Submitted by
- Novus Biologicals (provider)
- Main image
 
- Experimental details
- Western Blot: RyDEN Antibody [NBP1-90417] - Analysis in human cell lines SK-MEL-30 and HEK293. Corresponding RNA-seq data are presented for the same cell lines. Loading control: Anti-PFN1.
							
					Supportive validation
					
									
				
		- Submitted by
- Novus Biologicals (provider)
- Main image
 
- Experimental details
- Immunohistochemistry-Paraffin: C19orf66 Antibody [NBP1-90417] - Staining of human testis shows moderate nuclear positivity in cells in seminiferus ducts and Leydig cells.
- Submitted by
- Novus Biologicals (provider)
- Main image
 
- Experimental details
- Immunohistochemistry-Paraffin: RyDEN Antibody [NBP1-90417] - Staining of human fallopian tube shows moderate to strong cytoplasmic positivity in glandular cells.
- Submitted by
- Novus Biologicals (provider)
- Main image
 
- Experimental details
- Immunohistochemistry-Paraffin: RyDEN Antibody [NBP1-90417] - Staining of human liver shows strong cytoplasmic positivity in hepatocytes.
- Submitted by
- Novus Biologicals (provider)
- Main image
 
- Experimental details
- Immunohistochemistry-Paraffin: RyDEN Antibody [NBP1-90417] - Staining of human prostate shows moderate to strong cytoplasmic positivity in glandular cells.
- Submitted by
- Novus Biologicals (provider)
- Main image
 
- Experimental details
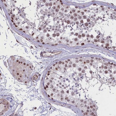
- Immunohistochemistry-Paraffin: RyDEN Antibody [NBP1-90417] - Staining of human testis shows moderate cytoplasmic positivity in Leydig cells and very weak cytoplasmic positivity in cells in seminiferous ducts.