Antibody data
- Antibody Data
- Antigen structure
- References [0]
- Comments [0]
- Validations
- Western blot [1]
- Immunohistochemistry [1]
Submit
Validation data
Reference
Comment
Report error
- Product number
- PA5-98696 - Provider product page

- Provider
- Invitrogen Antibodies
- Product name
- RQCD1 Polyclonal Antibody
- Antibody type
- Polyclonal
- Antigen
- Recombinant full-length protein
- Reactivity
- Human, Mouse
- Host
- Rabbit
- Isotype
- IgG
- Vial size
- 100 μg
- Concentration
- 3 mg/mL
- Storage
- -20°C or -80°C if preferred
No comments: Submit comment
Supportive validation
- Submitted by
- Invitrogen Antibodies (provider)
- Main image

- Experimental details
- Western Blot analysis of RQCD1 using a RQCD1 Polyclonal antibody (Product # PA5-98696) at a concentration of 6 µg/mL. Lane 1: HepG2 whole cell lysate. Lane 2: Mouse small intestine tissue. Lane 3: Mouse spleen tissue. A secondary Goat polyclonal antibody to rabbit IgG was applied at a 1:10,000 dilution. Observed band size: 34 kDa.
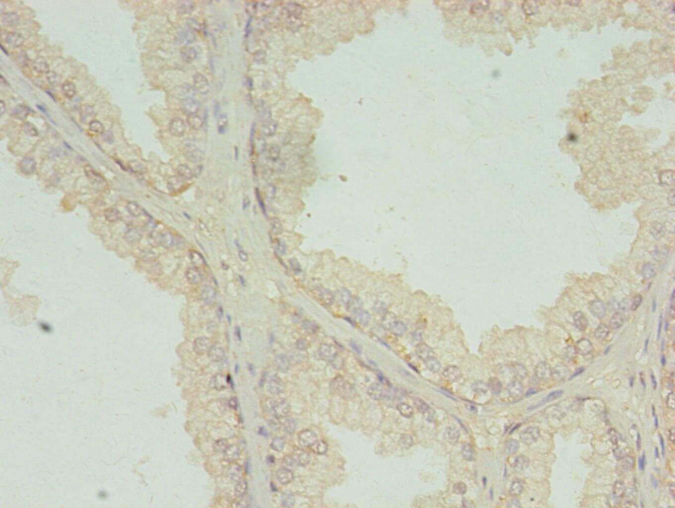
Supportive validation
- Submitted by
- Invitrogen Antibodies (provider)
- Main image

- Experimental details
- Immunohistochemical analysis of RQCD1 in paraffin embedded human prostate cancer using a RQCD1 polyclonal antibody (Product # PA5-98696) at a dilution of 1:100.