Antibody data
- Antibody Data
- Antigen structure
- References [0]
- Comments [0]
- Validations
- Immunohistochemistry [1]
Submit
Validation data
Reference
Comment
Report error
- Product number
- PAB28025 - Provider product page

- Provider
- Abnova Corporation
- Product name
- VMO1 polyclonal antibody
- Antibody type
- Polyclonal
- Description
- Rabbit polyclonal antibody raised against recombinant VMO1
- Antigen sequence
QTDGRNGYTAVIEVTSGGPWGDWAWPEMCPDGFFA
SGFSLKVEPPQGIPGDDTALNGIRLHCARGNVLGN
THVVESQSGSWGEWSEPL- Isotype
- IgG
- Storage
- Store at 4°C. For long term storage store at -20°C.Aliquot to avoid repeated freezing and thawing.
No comments: Submit comment
Supportive validation
- Submitted by
- Abnova Corporation (provider)
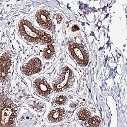
- Main image

- Experimental details
- Immunohistochemical staining of human breast with VMO1 polyclonal antibody ( Cat # PAB28025 ) shows strong cytoplasmic and membranous positivity in glandular cells at 1:50 - 1:200 dilution.
- Validation comment
- Immunohistochemistry (Formalin/PFA-fixed paraffin-embedded sections)