Antibody data
- Antibody Data
- Antigen structure
- References [1]
- Comments [0]
- Validations
- Immunohistochemistry [7]
Submit
Validation data
Reference
Comment
Report error
- Product number
- NBP1-88714 - Provider product page

- Provider
- Novus Biologicals
- Proper citation
- Novus Cat#NBP1-88714, RRID:AB_11005277
- Product name
- Rabbit Polyclonal BANK1 Antibody
- Antibody type
- Polyclonal
- Description
- Immunogen affinity purified. Specificity of human BANK1 antibody verified on a Protein Array containing target protein plus 383 other non-specific proteins.
- Reactivity
- Human
- Host
- Rabbit
- Isotype
- IgG
- Vial size
- 0.1 ml
- Storage
- Store at 4C short term. Aliquot and store at -20C long term. Avoid freeze-thaw cycles.
Submitted references BANK1 and BLK act through phospholipase C gamma 2 in B-cell signaling.
Bernal-Quirós M, Wu YY, Alarcón-Riquelme ME, Castillejo-López C
PloS one 2013;8(3):e59842
PloS one 2013;8(3):e59842
No comments: Submit comment
Supportive validation
- Submitted by
- Novus Biologicals (provider)
- Main image

- Experimental details
- Immunohistochemistry-Paraffin: BANK1 Antibody [NBP1-88714] - Staining of human cerebral cortex shows low expression as expected.
- Submitted by
- Novus Biologicals (provider)
- Main image

- Experimental details
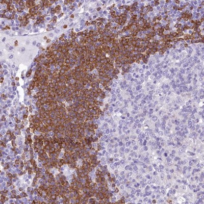
- Immunohistochemistry-Paraffin: BANK1 Antibody [NBP1-88714] - Staining of human lymph node shows high expression.
- Submitted by
- Novus Biologicals (provider)
- Main image

- Experimental details
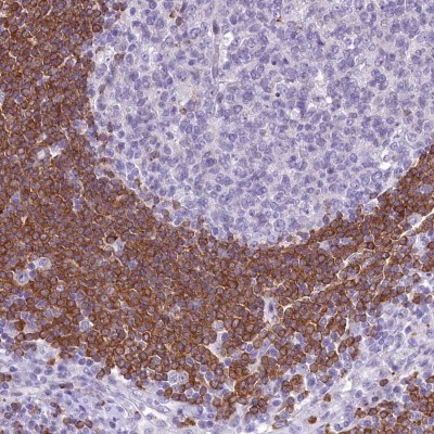
- Immunohistochemistry-Paraffin: BANK1 Antibody [NBP1-88714] - Staining of human tonsil shows moderate to strong cytoplasmic positivity in germinal center cells.
- Submitted by
- Novus Biologicals (provider)
- Main image

- Experimental details
- Immunohistochemistry-Paraffin: BANK1 Antibody [NBP1-88714] - Staining of human cerebral cortex shows no positivity in neurons as expected.
- Submitted by
- Novus Biologicals (provider)
- Main image

- Experimental details
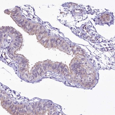
- Immunohistochemistry-Paraffin: BANK1 Antibody [NBP1-88714] - Staining of human fallopian tube shows weak to moderate cytoplasmic positivity in glandular cells.
- Submitted by
- Novus Biologicals (provider)
- Main image

- Experimental details
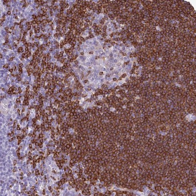
- Immunohistochemistry-Paraffin: BANK1 Antibody [NBP1-88714] - Staining of human lymph node shows moderate to strong cytoplasmic positivity in germinal center cells.
- Submitted by
- Novus Biologicals (provider)
- Main image

- Experimental details
- Immunohistochemistry-Paraffin: BANK1 Antibody [NBP1-88714] - Analysis in human lymph node and cerebral cortex tissues. Corresponding BANK1 RNA-seq data are presented for the same tissues.