Antibody data
- Antibody Data
- Antigen structure
- References [0]
- Comments [0]
- Validations
- Immunohistochemistry [1]
Submit
Validation data
Reference
Comment
Report error
- Product number
- PAB23292 - Provider product page

- Provider
- Abnova Corporation
- Proper citation
- Abnova Corporation Cat#PAB23292, RRID:AB_11121000
- Product name
- SNX22 polyclonal antibody
- Antibody type
- Polyclonal
- Description
- Rabbit polyclonal antibody raised against recombinant SNX22.
- Antigen sequence
GLEAYIQGILYLNQEVPKELLEFLRLRHFPTDPKA
SNWGTLREFLPGDSSSQQHQRPVLSFHVDPYVCNP
SPESLPNVVVNGVLQGLYSFSISPDKAQPKAACHP
APL- Isotype
- IgG
- Storage
- Store at 4°C. For long term storage store at -20°C.Aliquot to avoid repeated freezing and thawing.
No comments: Submit comment
Supportive validation
- Submitted by
- Abnova Corporation (provider)
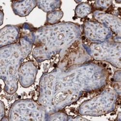
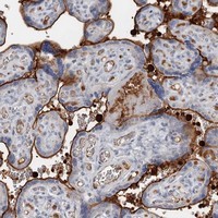
- Main image

- Experimental details
- Immunohistochemical staining of human placenta with SNX22 polyclonal antibody (Cat # PAB23292) shows strong membranous positivity in trophoblastic cells at 1:500-1:1000 dilution.
- Validation comment
- Immunohistochemistry (Formalin/PFA-fixed paraffin-embedded sections)