Antibody data
- Antibody Data
- Antigen structure
- References [0]
- Comments [0]
- Validations
- Western blot [1]
- Immunocytochemistry [1]
- Immunohistochemistry [1]
Submit
Validation data
Reference
Comment
Report error
- Product number
- PAB27943 - Provider product page

- Provider
- Abnova Corporation
- Product name
- ZNF467 polyclonal antibody
- Antibody type
- Polyclonal
- Description
- Rabbit polyclonal antibody raised against recombinant ZNF467.
- Antigen sequence
RETLEALSSLGFSVGQPEMAPQSEPREGSHNAQEQ
MSSSREERALGVCSGHEAPTPEEGAHTEQAEAPCR
GQACSAQKAQPVGTCP- Isotype
- IgG
- Storage
- Store at 4°C. For long term storage store at -20°C.Aliquot to avoid repeated freezing and thawing.
No comments: Submit comment
Supportive validation
- Submitted by
- Abnova Corporation (provider)
- Main image

- Experimental details
- Western blot analysis of Lane 1: RT-4, Lane 2: U-251 MG, Lane 3: Human Plasma, Lane 4: Liver, Lane 5: Tonsil with ZNF467 polyclonal antibody (Cat # PAB27943) at 1:100-1:250 dilution.
Supportive validation
- Submitted by
- Abnova Corporation (provider)
- Main image

- Experimental details
- Immunofluorescent staining of human cell line U-2 OS with ZNF467 polyclonal antibody (Cat # PAB27943) at 1-4 ug/mL dilution shows positivity in mitochondria.
- Validation comment
- Immunofluorescence
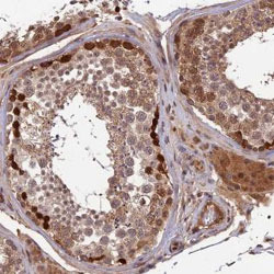
Supportive validation
- Submitted by
- Abnova Corporation (provider)
- Main image

- Experimental details
- Immunohistochemical staining of human testis with ZNF467 polyclonal antibody (Cat # PAB27943) shows strong nuclear and cytoplasmic positivity in Spermatogonia at 1:20-1:50 dilution.
- Validation comment
- Immunohistochemistry (Formalin/PFA-fixed paraffin-embedded sections)