Antibody data
- Antibody Data
- Antigen structure
- References [0]
- Comments [0]
- Validations
- Western blot [1]
- Immunohistochemistry [5]
Submit
Validation data
Reference
Comment
Report error
- Product number
- NBP1-91848 - Provider product page

- Provider
- Novus Biologicals
- Proper citation
- Novus Cat#NBP1-91848, RRID:AB_11010006
- Product name
- Rabbit Polyclonal DPY30 Antibody
- Antibody type
- Polyclonal
- Description
- Immunogen affinity purified. Specificity of human DPY30 antibody verified on a Protein Array containing target protein plus 383 other non-specific proteins.
- Reactivity
- Human
- Host
- Rabbit
- Isotype
- IgG
- Vial size
- 0.1 ml
- Storage
- Store at 4C short term. Aliquot and store at -20C long term. Avoid freeze-thaw cycles.
No comments: Submit comment
Supportive validation
- Submitted by
- Novus Biologicals (provider)
- Main image

- Experimental details
- Western Blot: DPY30 Antibody [NBP1-91848] - 40 ug total protein per lane, separated by 12% SDS-PAGE and blotted onto a PVDF membrane. DPY30 antibody at 1:200, GAPDH antibody at 1:3000. Secondary antibody at 1:5000. Detection by ECL. Image from verified customer review.
Supportive validation
- Submitted by
- Novus Biologicals (provider)
- Main image

- Experimental details
- Immunohistochemistry-Paraffin: DPY30 Antibody [NBP1-91848] - Staining of human fallopian tube shows moderate to strong nuclear positivity in glandular cells.
- Submitted by
- Novus Biologicals (provider)
- Main image

- Experimental details
- Immunohistochemistry-Paraffin: DPY30 Antibody [NBP1-91848] - Staining of human prostate shows moderate to strong nuclear positivity in glandular cells.
- Submitted by
- Novus Biologicals (provider)
- Main image

- Experimental details
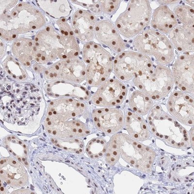
- Immunohistochemistry-Paraffin: DPY30 Antibody [NBP1-91848] - Staining of human kidney shows moderate to strong nuclear positivity in cells in tubules.
- Submitted by
- Novus Biologicals (provider)
- Main image

- Experimental details
- Immunohistochemistry-Paraffin: DPY30 Antibody [NBP1-91848] - Staining of human small intestine shows moderate nuclear positivity in glandular cells.
- Submitted by
- Novus Biologicals (provider)
- Main image

- Experimental details
- Immunohistochemistry-Paraffin: DPY30 Antibody [NBP1-91848] - Staining of human pancreas shows nuclear positivity.