Antibody data
- Antibody Data
- Antigen structure
- References [0]
- Comments [0]
- Validations
- Western blot [1]
- Immunohistochemistry [1]
Submit
Validation data
Reference
Comment
Report error
- Product number
- PAB21908 - Provider product page

- Provider
- Abnova Corporation
- Proper citation
- Abnova Corporation Cat#PAB21908, RRID:AB_10967628
- Product name
- ZFHX2 polyclonal antibody
- Antibody type
- Polyclonal
- Description
- Rabbit polyclonal antibody raised against recombinant ZFHX2.
- Antigen sequence
AGGTSGGPGGGTGVPDGMGQRRYRTQMSSLQLKIM
KACYEAYRTPTMQECEVLGEEIGLPKRVIQVWFQN
ARAKEKKAKLQGTAAGSTGGSSEGLLAAQRTDCPY
CDVKYDFYVSCRGHLFSRQHLAKLKEAVRAQLKSE
SKCYD- Isotype
- IgG
- Storage
- Store at 4°C. For long term storage store at -20°C.Aliquot to avoid repeated freezing and thawing.
No comments: Submit comment
Supportive validation
- Submitted by
- Abnova Corporation (provider)
- Main image

- Experimental details
- Western blot analysis of Lane 1: RT-4, Lane 2: U-251 MG, Lane 3: Human Plasma, Lane 4: Liver, Lane 5: Tonsil with ZFHX2 polyclonal antibody (Cat # PAB21908) at 1:250-1:500 dilution.
Supportive validation
- Submitted by
- Abnova Corporation (provider)
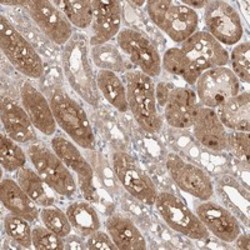
- Main image

- Experimental details
- Immunohistochemical staining of human kidney with ZFHX2 polyclonal antibody (Cat # PAB21908) shows moderate cytoplasmic and occasional nuclear positivity in tubular cells at 1:50-1:200 dilution.
- Validation comment
- Immunohistochemistry (Formalin/PFA-fixed paraffin-embedded sections)