Antibody data
- Antibody Data
- Antigen structure
- References [0]
- Comments [0]
- Validations
- Immunocytochemistry [1]
- Immunohistochemistry [1]
Submit
Validation data
Reference
Comment
Report error
- Product number
- PA5-51445 - Provider product page

- Provider
- Invitrogen Antibodies
- Product name
- Anti-ZFHX2 Polyclonal Antibody
- Antibody type
- Polyclonal
- Antigen
- Recombinant full-length protein
- Description
- Immunogen sequence: TCGGKPAERG PLAGHMPSSR PHRVDFCWVP GSDPGTFDGS PWLLDRFLAQ LGDYMSFHFE HYQDNISRVC EILRRLTGRA QAWAAPYLDG DLPLPDDYEL FCQDLKEVVQ DPNSFAEYHA VVTCP Highest antigen sequence identity to the following orthologs: Mouse - 23%, Rat - 23%.
- Reactivity
- Human
- Host
- Rabbit
- Isotype
- IgG
- Vial size
- 100 µl
- Concentration
- Lot Dependent
- Storage
- Store at 4°C short term. For long term storage, store at -20°C, avoiding freeze/thaw cycles.
No comments: Submit comment
Supportive validation
- Submitted by
- Invitrogen Antibodies (provider)
- Main image

- Experimental details
- Immunofluorescent staining of ZFHX2 in human cell line SH-SY5Y using a ZFHX2 Polyclonal Antibody (Product # PA5-51445) shows localization to nucleus, nucleoli fibrillar center and cytosol.
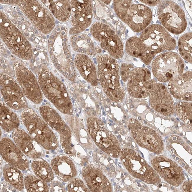
Supportive validation
- Submitted by
- Invitrogen Antibodies (provider)
- Main image

- Experimental details
- Immunohistochemical staining of ZFHX2 in human kidney tissue shows moderate cytoplasmic and occasional nuclear positivity in tubular cells. Samples were probed using a ZFHX2 Polyclonal Antibody (Product # PA5-51445).