Antibody data
- Antibody Data
- Antigen structure
- References [0]
- Comments [0]
- Validations
- Western blot [1]
- Immunohistochemistry [1]
Submit
Validation data
Reference
Comment
Report error
- Product number
- ABIN1109586 - Provider product page

- Provider
- antibodies-online
- Product name
- anti-Zinc Finger Homeobox 2 (ZFHX2) (Middle Region) antibody
- Antibody type
- Polyclonal
- Antigen
- The immunogen for anti-ZNF409 antibody: synthetic peptide directed towards the middle region of human ZNF409
- Description
- Purified using peptide immunoaffinity column
- Reactivity
- Human, Mouse, Rat, Bovine, Canine
- Host
- Rabbit
- Antigen sequence
GGQGSPPEASLPPSAGDKEPKTKSSWQCKVCSYET
NISRNLRIHMTSEKH- Epitope
- Middle Region
- Vial size
- 50 μg
- Storage
- Store lyophilized at 2-8°C or at -20°C long term. After reconstitution store the antibody undiluted at 2-8°C for up to one month or in aliquots at -20°C long term.
- Handling
- Avoid repeated freezing and thawing.
No comments: Submit comment
Supportive validation
- Submitted by
- antibodies-online (provider)
- Main image

- Experimental details
- Human Jurkat; WB Suggested Anti-ZNF409 Antibody Titration: 0.2-1 ug/ml. Positive Control: Jurkat cell lysate; ZNF409 antibody - middle region (AP42100PU-N) in Human Jurkat cells using Western Blot
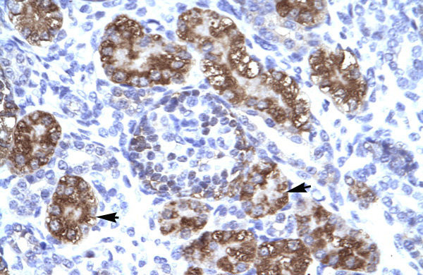
Supportive validation
- Submitted by
- antibodies-online (provider)
- Main image

- Experimental details
- Human kidney; ZNF409 antibody - middle region (AP42100PU-N) in Human kidney cells using Immunohistochemistry