Antibody data
- Antibody Data
- Antigen structure
- References [0]
- Comments [0]
- Validations
- Western blot [1]
- Immunohistochemistry [3]
- Flow cytometry [2]
Submit
Validation data
Reference
Comment
Report error
- Product number
- TA502467 - Provider product page

- Provider
- OriGene
- Proper citation
- OriGene Cat#TA502467, RRID:AB_11124119
- Product name
- PIH1D2 mouse monoclonal antibody, clone OTI4A10 (formerly 4A10)
- Antibody type
- Monoclonal
- Description
- PIH1D2 mouse monoclonal antibody, clone OTI4A10 (formerly 4A10)
- Host
- Mouse
- Conjugate
- Unconjugated
- Epitope
- PIH1D2
- Isotype
- IgG
- Antibody clone number
- OTI4A10
- Vial size
- 100 µl
- Concentration
- 0.83 mg/ml
No comments: Submit comment
Supportive validation
- Submitted by
- OriGene (provider)
- Main image

- Experimental details
- HEK293T cells were transfected with the pCMV6-ENTRY control (Left lane) or pCMV6-ENTRY PIH1D2 (RC205039, Right lane) cDNA for 48 hrs and lysed. Equivalent amounts of cell lysates (5 ug per lane) were separated by SDS-PAGE and immunoblotted with anti-PIH1D2.
- Validation comment
- WB
Supportive validation
- Submitted by
- OriGene (provider)
- Main image

- Experimental details
- Immunohistochemical staining of paraffin-embedded Carcinoma of Human bladder tissue using anti-PIH1D2 mouse monoclonal antibody. (Heat-induced epitope retrieval by 10mM citric buffer, pH6.0, 100C for 10min, TA502467)
- Validation comment
- IHC
- Submitted by
- OriGene (provider)
- Main image

- Experimental details
- Immunohistochemical staining of paraffin-embedded Human tonsil within the normal limits using anti-PIH1D2 mouse monoclonal antibody. (Heat-induced epitope retrieval by 10mM citric buffer, pH6.0, 100C for 10min, TA502467)
- Validation comment
- IHC
- Submitted by
- OriGene (provider)
- Main image

- Experimental details
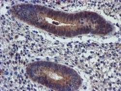
- Immunohistochemical staining of paraffin-embedded Human endometrium tissue within the normal limits using anti-PIH1D2 mouse monoclonal antibody. (Heat-induced epitope retrieval by 10mM citric buffer, pH6.0, 100C for 10min, TA502467)
- Validation comment
- IHC
Supportive validation
- Submitted by
- OriGene (provider)
- Main image

- Experimental details
- Flow cytometric Analysis of Hela cells, using anti-PIH1D2 antibody(TA502467),(Red), compared to a nonspecific negative control antibody,(Blue).
- Validation comment
- FC
- Submitted by
- OriGene (provider)
- Main image

- Experimental details
- Flow cytometric Analysis of Jurkat cells, using anti-PIH1D2 antibody(TA502467),(Red), compared to a nonspecific negative control antibody,(Blue).
- Validation comment
- FC