Antibody data
- Antibody Data
- Antigen structure
- References [0]
- Comments [0]
- Validations
- Immunohistochemistry [2]
Submit
Validation data
Reference
Comment
Report error
- Product number
- PA5-148359 - Provider product page

- Provider
- Invitrogen Antibodies
- Product name
- UNC13C Polyclonal Antibody
- Antibody type
- Polyclonal
- Antigen
- Other
- Reactivity
- Human
- Host
- Rabbit
- Isotype
- IgG
- Vial size
- 100 μL
- Concentration
- 100 μg/mL
- Storage
- Store at 4°C short term. For long term storage, store at -20°C, avoiding freeze/thaw cycles.
No comments: Submit comment
Supportive validation
- Submitted by
- Invitrogen Antibodies (provider)
- Main image

- Experimental details
- Immunohistochemistry analysis of UNC13C in formalin-fixed paraffin embedded human kidney sections. Samples were incubated with UNC13C polyclonal antibody (Product # PA5-148359) using a dilution of 1:100.
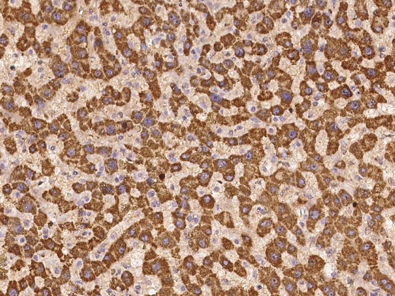
- Submitted by
- Invitrogen Antibodies (provider)
- Main image

- Experimental details
- Immunohistochemistry analysis of UNC13C in formalin-fixed paraffin embedded human liver sections. Samples were incubated with UNC13C polyclonal antibody (Product # PA5-148359) using a dilution of 1:100.