Antibody data
- Antibody Data
- Antigen structure
- References [0]
- Comments [0]
- Validations
- Western blot [1]
- Immunohistochemistry [1]
- Flow cytometry [1]
Submit
Validation data
Reference
Comment
Report error
- Product number
- AP53611PU-N - Provider product page

- Provider
- OriGene
- Product name
- RBM43 (N-term) rabbit polyclonal antibody, Aff - Purified
- Antibody type
- Polyclonal
- Description
- RBM43 (N-term) rabbit polyclonal antibody, Aff - Purified
- Host
- Rabbit
- Conjugate
- Unconjugated
- Epitope
- RBM43
- Antibody clone number
- NULL
- Vial size
- 400 µl
- Concentration
- lot specific
No comments: Submit comment
Supportive validation
- Submitted by
- OriGene (provider)
- Main image

- Experimental details
- Western blot analysis of RBM43 antibody (N-term) No??in K562 cell line lysates (35ug/lane). This demonstrates the #M43 antibody detected the RBM43 protein (arrow).
- Validation comment
- WB
Supportive validation
- Submitted by
- OriGene (provider)
- Main image

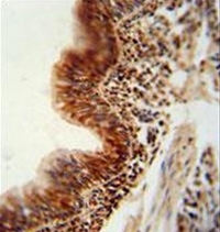
- Experimental details
- Formalin fixed, paraffin embedded human lung carcinoma stained with RBM43 antibody (N-term) No??followed by peroxidase conjugation of the secondary antibody and DAB staining. This data demonstrates the use of the RBM43 antibody (N-term) for immunohistochemistry. Clinical relevance has not been evaluated.
- Validation comment
- IHC
Supportive validation
- Submitted by
- OriGene (provider)
- Main image

- Experimental details
- Flow cytometric analysis of K562 cells using RBM43 antibody (N-term) No??(right histogram) compared to a negative control cell (left histogram).FITC-conjugated goat-anti-rabbit secondary antibodies were used for the analysis.
- Validation comment
- FC