Antibody data
- Antibody Data
- Antigen structure
- References [0]
- Comments [0]
- Validations
- Immunocytochemistry [2]
- Immunohistochemistry [3]
Submit
Validation data
Reference
Comment
Report error
- Product number
- PA5-60575 - Provider product page

- Provider
- Invitrogen Antibodies
- Product name
- DBNDD2 Polyclonal Antibody
- Antibody type
- Polyclonal
- Antigen
- Recombinant protein fragment
- Description
- Immunogen sequence: VNVDTLEQVE LIDLGDPDAA DVFLPCEDPP PTPQSSGVDN HLEELSLPVP TSDRTTSRTS S Highest antigen sequence identity to the following orthologs: Mouse - 80%, Rat - 85%.
- Reactivity
- Human
- Host
- Rabbit
- Isotype
- IgG
- Vial size
- 100 μL
- Concentration
- 0.5 mg/mL
- Storage
- Store at 4°C short term. For long term storage, store at -20°C, avoiding freeze/thaw cycles.
No comments: Submit comment
Supportive validation
- Submitted by
- Invitrogen Antibodies (provider)
- Main image

- Experimental details
- Immunofluorescent staining of DBNDD2 in human cell line U-2 OS shows positivity in cytoplasm & nucleus but excluded from the nucleoli. Samples were probed using a DBNDD2 Polyclonal Antibody (Product # PA5-60575).
- Submitted by
- Invitrogen Antibodies (provider)
- Main image

- Experimental details
- Immunofluorecent analysis of DBNDD2 in human cell line U-2 OS using DBNDD2 Polyclonal Antibody (Product # PA5-60575). Staining shows localization to nucleoplasm and cytosol.
Supportive validation
- Submitted by
- Invitrogen Antibodies (provider)
- Main image

- Experimental details
- Immunohistochemical staining of DBNDD2 in human cerebral cortex and kidney tissues using DBNDD2 Polyclonal Antibody (Product # PA5-60575). Corresponding DBNDD2 RNA-seq data are presented for the same tissues.
- Submitted by
- Invitrogen Antibodies (provider)
- Main image

- Experimental details
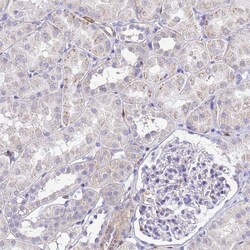
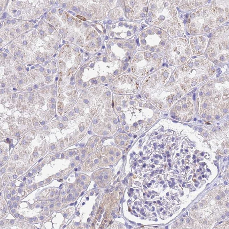
- Immunohistochemical staining of DBNDD2 in human kidney using DBNDD2 Polyclonal Antibody (Product # PA5-60575) shows low expression as expected.
- Submitted by
- Invitrogen Antibodies (provider)
- Main image

- Experimental details
- Immunohistochemical staining of DBNDD2 in human cerebral cortex using DBNDD2 Polyclonal Antibody (Product # PA5-60575) shows high expression.