Antibody data
- Antibody Data
- Antigen structure
- References [0]
- Comments [0]
- Validations
- Immunohistochemistry [6]
Submit
Validation data
Reference
Comment
Report error
- Product number
- NBP1-94093 - Provider product page

- Provider
- Novus Biologicals
- Proper citation
- Novus Cat#NBP1-94093, RRID:AB_11002770
- Product name
- Rabbit Polyclonal LUZP4 Antibody
- Antibody type
- Polyclonal
- Description
- Immunogen affinity purified. Specificity of human LUZP4 antibody verified on a Protein Array containing target protein plus 383 other non-specific proteins.
- Reactivity
- Human
- Host
- Rabbit
- Isotype
- IgG
- Vial size
- 0.1 ml
- Storage
- Store at 4C short term. Aliquot and store at -20C long term. Avoid freeze-thaw cycles.
No comments: Submit comment
Supportive validation
- Submitted by
- Novus Biologicals (provider)
- Main image

- Experimental details
- Immunohistochemistry-Paraffin: LUZP4 Antibody [NBP1-94093] - Staining of human colon, kidney, liver and testis using Anti-LUZP4 antibody NBP1-94093 (A) shows similar protein distribution across tissues to independent antibody NBP2-33634 (B).
- Submitted by
- Novus Biologicals (provider)
- Main image

- Experimental details
- Immunohistochemistry-Paraffin: LUZP4 Antibody [NBP1-94093] - Analysis in human testis and liver tissues. Corresponding LUZP4 RNA-seq data are presented for the same tissues.
- Submitted by
- Novus Biologicals (provider)
- Main image

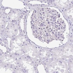
- Experimental details
- Immunohistochemistry-Paraffin: LUZP4 Antibody [NBP1-94093] - Staining of human kidney shows no positivity in cells in tubules as expected.
- Submitted by
- Novus Biologicals (provider)
- Main image

- Experimental details
- Immunohistochemistry-Paraffin: LUZP4 Antibody [NBP1-94093] - Staining of human testis shows moderate nuclear positivity in cells in seminiferous ducts.
- Submitted by
- Novus Biologicals (provider)
- Main image

- Experimental details
- Immunohistochemistry-Paraffin: LUZP4 Antibody [NBP1-94093] - Staining of human liver shows no positivity in hepatocytes as expected.
- Submitted by
- Novus Biologicals (provider)
- Main image

- Experimental details
- Immunohistochemistry-Paraffin: LUZP4 Antibody [NBP1-94093] - Staining of human colon shows no positivity in glandular cells as expected.