Antibody data
- Antibody Data
- Antigen structure
- References [0]
- Comments [0]
- Validations
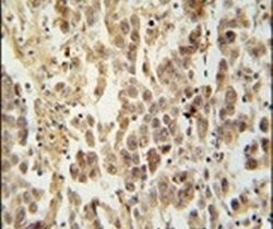
- Immunohistochemistry [1]
Submit
Validation data
Reference
Comment
Report error
- Product number
- PA5-23770 - Provider product page

- Provider
- Invitrogen Antibodies
- Product name
- Anti-LUZP4 Polyclonal Antibody
- Antibody type
- Polyclonal
- Antigen
- Synthetic peptide
- Reactivity
- Human
- Host
- Rabbit
- Isotype
- IgG
- Vial size
- 400 µL
- Concentration
- Lot Dependent
- Storage
- -20° C, Avoid Freeze/Thaw Cycles
No comments: Submit comment
Supportive validation
- Submitted by
- Invitrogen Antibodies (provider)
- Main image

- Experimental details
- Immunohistochemistry analysis in formalin-fixed, paraffin-embedded human testis carcinoma using a LUZP4 polyclonal antibody (Product # PA5-23770), followed by HRP-conjugated secondary antibody and DAB staining.