Antibody data
- Antibody Data
- Antigen structure
- References [1]
- Comments [0]
- Validations
- Immunohistochemistry [1]
Submit
Validation data
Reference
Comment
Report error
- Product number
- PA5-24445 - Provider product page

- Provider
- Invitrogen Antibodies
- Product name
- ITIH5 Polyclonal Antibody
- Antibody type
- Polyclonal
- Antigen
- Synthetic peptide
- Reactivity
- Human
- Host
- Rabbit
- Isotype
- IgG
- Vial size
- 400 μL
- Concentration
- 0.5 mg/mL
- Storage
- Store at 4°C short term. For long term storage, store at -20°C, avoiding freeze/thaw cycles.
Submitted references Suppression of pancreatic cancer liver metastasis by secretion-deficient ITIH5.
Young ED, Manley SJ, Beadnell TC, Shearin AE, Sasaki K, Zimmerman R, Kauffman E, Vivian CJ, Parasuram A, Iwakuma T, Grandgenett PM, Hollingsworth MA, O'Neil M, Welch DR
British journal of cancer 2021 Jan;124(1):166-175
British journal of cancer 2021 Jan;124(1):166-175
No comments: Submit comment
Supportive validation
- Submitted by
- Invitrogen Antibodies (provider)
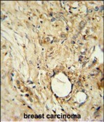
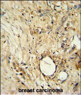
- Main image

- Experimental details
- Immunohistochemistry analysis of ITIH5 in formalin fixed and paraffin embedded human breast carcinoma. Samples were incubated with ITIH5 polyclonal antibody (Product # PA5-24445) followed by peroxidase conjugation of the secondary antibody and DAB staining. This data demonstrates the use of this antibody for immunohistochemistry. Clinical relevance has not been evaluated.