BS-2304R
antibody from Invitrogen Antibodies
Targeting: ARHGAP17
FLJ10308, FLJ13219, NADRIN, RICH1, WBP15
Antibody data
- Antibody Data
- Antigen structure
- References [0]
- Comments [0]
- Validations
- Immunohistochemistry [1]
Submit
Validation data
Reference
Comment
Report error
- Product number
- BS-2304R - Provider product page

- Provider
- Invitrogen Antibodies
- Product name
- ARHGAP17 Polyclonal Antibody
- Antibody type
- Polyclonal
- Antigen
- Synthetic peptide
- Reactivity
- Human, Mouse, Rat, Drosophila
- Host
- Rabbit
- Isotype
- IgG
- Vial size
- 100 µL
- Concentration
- 1 mg/mL
- Storage
- -20°C
No comments: Submit comment
Supportive validation
- Submitted by
- Invitrogen Antibodies (provider)
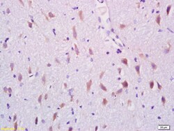
- Main image

- Experimental details
- Paraformaldehyde-fixed, paraffin embedded Rat brain; Antigen retrieval by boiling in sodium citrate buffer (pH6.0) for 15min; Block endogenous peroxidase by 3% hydrogen peroxide for 20 minutes; Blocking buffer (normal goat serum) at 37°C for 30min; Antibody incubation with ARHGAP17 Polyclonal Antibody, Unconjugated (bs-2304R) at 1:200 overnight at 4°C, DAB staining.