Antibody data
- Antibody Data
- Antigen structure
- References [1]
- Comments [0]
- Validations
- Western blot [1]
- Immunohistochemistry [1]
Submit
Validation data
Reference
Comment
Report error
- Product number
- NB100-2262 - Provider product page

- Provider
- Novus Biologicals
- Proper citation
- Novus Cat#NB100-2262, RRID:AB_2097143
- Product name
- Rabbit Polyclonal EEF1G Antibody
- Antibody type
- Polyclonal
- Description
- Immunogen affinity purified.
- Reactivity
- Human, Mouse
- Host
- Rabbit
- Isotype
- IgG
- Vial size
- 0.1 ml
- Concentration
- 0.2 mg/ml
- Storage
- Store at 4C. Do not freeze.
Submitted references Proteomic Analysis of Dendritic Filopodia-Rich Fraction Isolated by Telencephalin and Vitronectin Interaction.
Furutani Y, Yoshihara Y
Frontiers in synaptic neuroscience 2018;10:27
Frontiers in synaptic neuroscience 2018;10:27
No comments: Submit comment
Supportive validation
- Submitted by
- Novus Biologicals (provider)
- Main image

- Experimental details
- Western Blot: EEF1G Antibody [NB100-2262] - Detection of Human and Mouse EEF1G on HeLa whole cell lystate using NB100-2262.
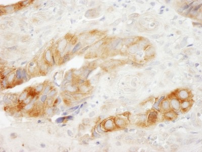
Supportive validation
- Submitted by
- Novus Biologicals (provider)
- Main image

- Experimental details
- Immunohistochemistry: EEF1G Antibody [NB100-2262] - Sample: FFPE section of human colon carcinoma. Antibody: Affinity purified rabbit anti-eEF1G used at a dilution of 1:200 (1ug/ml). Detection: DAB