Antibody data
- Antibody Data
- Antigen structure
- References [0]
- Comments [0]
- Validations
- Immunohistochemistry [3]
Submit
Validation data
Reference
Comment
Report error
- Product number
- PA5-55708 - Provider product page

- Provider
- Invitrogen Antibodies
- Product name
- POM121L12 Polyclonal Antibody
- Antibody type
- Polyclonal
- Antigen
- Recombinant protein fragment
- Description
- Immunogen sequence: KRPEANGPPA MGSAAPAESA DLGNFWKAGE PLLQGPDALA APMSRSPSTP QTTPSPQGRQ SPWPLRSLTQ SHIQYFQWGR PVPSTHLIEV RPTQDPAKPQ RVVSEG Highest antigen sequence identity to the following orthologs: Mouse - 31%, Rat - 31%.
- Reactivity
- Human
- Host
- Rabbit
- Isotype
- IgG
- Vial size
- 100 μL
- Concentration
- 0.4 mg/mL
- Storage
- Store at 4°C short term. For long term storage, store at -20°C, avoiding freeze/thaw cycles.
No comments: Submit comment
Supportive validation
- Submitted by
- Invitrogen Antibodies (provider)
- Main image

- Experimental details
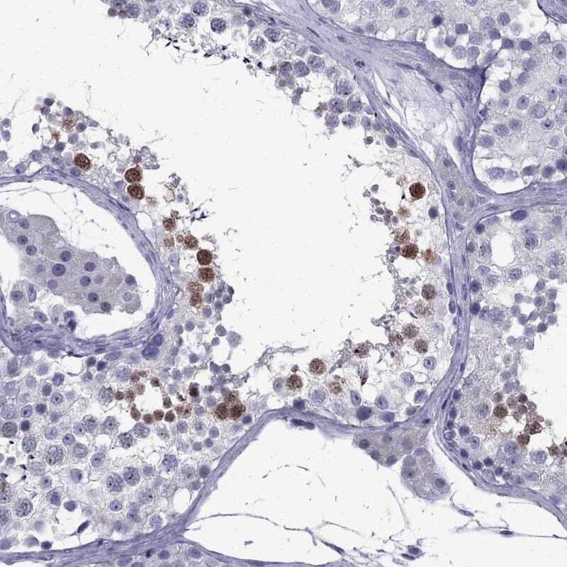
- Immunohistochemical staining of POM121L12 in human testis using POM121L12 Polyclonal Antibody (Product # PA5-55708) shows high expression.
- Submitted by
- Invitrogen Antibodies (provider)
- Main image

- Experimental details
- Immunohistochemical staining of POM121L12 in human testis and fallopian tube tissues using POM121L12 Polyclonal Antibody (Product # PA5-55708). Corresponding POM121L12 RNA-seq data are presented for the same tissues.
- Submitted by
- Invitrogen Antibodies (provider)
- Main image

- Experimental details
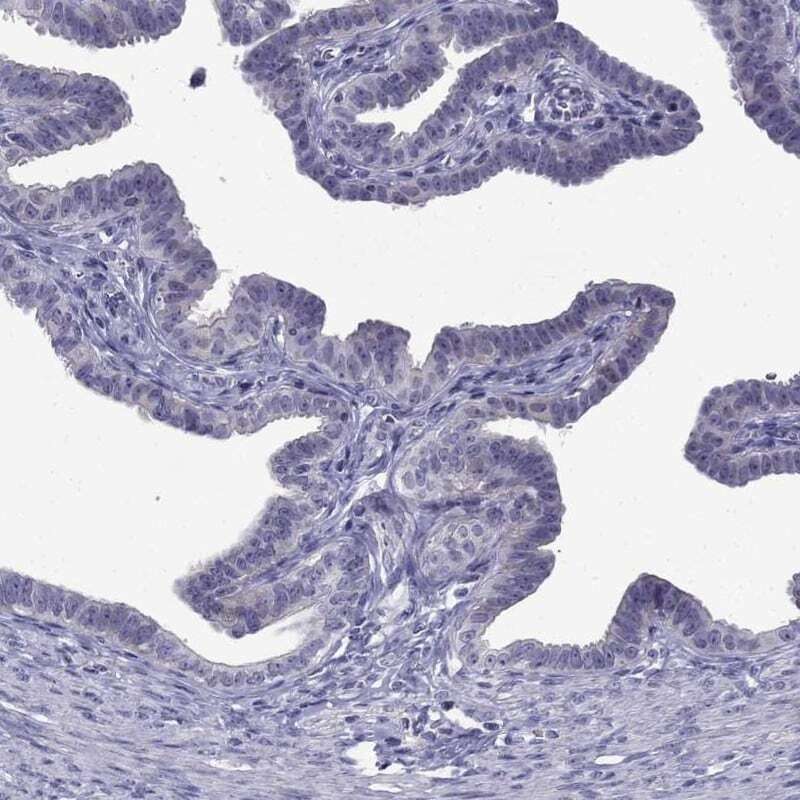
- Immunohistochemical staining of POM121L12 in human fallopian tube using POM121L12 Polyclonal Antibody (Product # PA5-55708) shows low expression as expected.